- Tel: 858.663.9055
- 
									 Email: info@nsjbio.com Email: info@nsjbio.com
- Tel: 858.663.9055
- Email: info@nsjbio.com
 Email: info@nsjbio.com
Email: info@nsjbio.com
								Related Products
| 
 | 
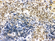
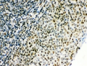
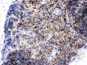
CTBP1, C-terminal-binding protein 1, is a protein that in humans is encoded by the CTBP1 gene. The CtBP1 protein binds to the C-terminus of adenovirus E1A proteins. This gene is mapped to 4p16.This phosphoprotein is a transcriptional repressor (corepressor) and may play a role during cellular proliferation. This protein and the product of a second closely related gene, CTBP2, can dimerize. CtBP1 and CtBP2 preferentially associate with the E1A via a 5 amino acid motif, PLDLS, to repress E1A induced oncogenesis and cellular transformation. CtBP1 is expressed from embryo to adult, but CtBP2 is mainly expressed during embryogenesis. During skeletal and T cell development, CtBP1 and CtBP2 associate with the PLDLSL domain of ?EF1, a cellular zinc finger-homeodomain protein, and thereby enhances ?EF1-induced transcriptional silencing. In addition, CtBP complexes with CtIP, a 125 kDa protein that recognizes distinctly different protein motifs from CtBP. CtIP binds to the BRCT repeats within the breast cancer gene BRCA1 and enables CtBP to influence BRCA1 activity. Both proteins can also interact with a polycomb group protein complex which participates in regulation of gene expression during development. Alternative splicing of transcripts from this gene results in multiple transcript variants.
Optimal dilution of the CTBP1 antibody should be determined by the researcher.
Amino acids HGLPPVAHPPHAPSPGQTVKPEADRDHASDQL of human CTBP1 were used as the immunogen for the CTBP1 antibody.
After reconstitution, the CTBP1 antibody can be stored for up to one month at 4oC. For long-term, aliquot and store at -20oC. Avoid repeated freezing and thawing.
 
Your bulk quote request has been submitted successfully!
Please contact us if you have any questions.