• Tel: 858.663.9055
  • SeparatorEmail: info@nsjbio.com
  • Tel: 858.663.9055
  • Email: info@nsjbio.com
Home >> Antibodies >> CSRP2 Antibody

CSRP2 Antibody (R33965)

  Catalog No Formulation Size Price (USD)  
Image R33965-100UG 0.5 mg/ml in 1X TBS, pH7.3, with 0.5% BSA (US sourced) and 0.02% sodium azide 100 ug 449
Bulk quote request
Western blot testing of human [A], mouse [B] and rat [C] kidney lysates with CSRP2 antibody at 0.2ug/ml. Predicted/observed molecular weight: ~21/26kDa.
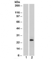
Western blot of HEK293 lysate overexpressing CSRP2 probed with CSRP2 antibody (mock transfection in lane 1). Predicted/observed molecular weight: ~21/26kDa.
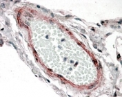
IHC staining of FFPE human lung with CSRP2 antibody at 3.8ug/ml. HIER: steamed with pH6 citrate buffer, AP-staining.
Availability 1-3 business days
Species Reactivity Human, Mouse, Rat
Predicted Reactivity Horse
Format Antigen affinity purified
Clonality Polyclonal (goat origin)
Isotype Goat Ig
Purity Antigen affinity
Gene ID 1466
Applications Western Blot : 0.2-1ug/ml
Immunohistochemistry (FFPE) : 3-6ug/ml
ELISA (peptide) LOD : 1:64000
Limitations This CSRP2 antibody is available for research use only.
Review this product on BioCompare and get a $20 Amazon gift card

Description

Additional name(s) for this target protein: Cysteine and glycine-rich protein 2

Application Notes

Optimal dilution of the CSRP2 antibody should be determined by the researcher.

Immunogen

Amino acids ERLGIKPESVQP were used as the immunogen for this CSRP2 antibody.

Storage

Aliquot and store the CSRP2 antibody at -20oC.

Cross
Bulk Quote Request Form
Name*:
Organization*:
Email*:
Phone Number*:
Catalog No.*:
Comments and Specifics(amount, formulation, etc.)*:
Validation code: Captchapackage Image


Can't read the image? click here to refresh.
    *required field

Your bulk quote request has been submitted successfully!

Please contact us if you have any questions.