• Tel: 858.663.9055
  • SeparatorEmail: info@nsjbio.com
  • Tel: 858.663.9055
  • Email: info@nsjbio.com
Home >> Antibodies >> CSF1R Antibody

CSF1R Antibody (R34544)

  Catalog No Formulation Size Price (USD)  
Image R34544-100UG 0.5 mg/ml in 1X TBS, pH7.3, with 0.5% BSA (US sourced) and 0.02% sodium azide 100 ug 449
Bulk quote request
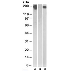
Western blot testing of HEK293 lysate overexpressing Human CSF1R with MYC tag with CSF1R antibody (0.5ug/ml) in Lane A and probed with anti-MYC tag (1/1000) in lane C. Mock-transfected HEK293 probed with CSF1R antibody (1ug/ml) in Lane B.
Availability 1-3 business days
Species Reactivity Human
Predicted Reactivity Cow, Dog, Mouse, Rat
Format Antigen affinity purified
Clonality Polyclonal (goat origin)
Isotype Goat Ig
Purity Antigen affinity
UniProt P07333
Gene ID 1436
Applications Western Blot : 0.5-2ug/ml
ELISA (peptide) LOD : 1:32000
Limitations This CSF1R antibody is available for research use only.
Review this product on BioCompare and get a $20 Amazon gift card

Related Products

Description

Additional name(s) for this target protein: (Macrophage) Colony stimulating factor 1 receptor

Application Notes

Optimal dilution of the CSF1R antibody should be determined by the researcher.

Immunogen

Amino acids KNIHLEKKYVR were used as the immunogen for this CSF1R antibody.

Storage

Aliquot and store the CSF1R antibody at -20oC.

Cross
Bulk Quote Request Form
Name*:
Organization*:
Email*:
Phone Number*:
Catalog No.*:
Comments and Specifics(amount, formulation, etc.)*:
Validation code: Captchapackage Image


Can't read the image? click here to refresh.
    *required field

Your bulk quote request has been submitted successfully!

Please contact us if you have any questions.