• Tel: 858.663.9055
  • SeparatorEmail: info@nsjbio.com
  • Tel: 858.663.9055
  • Email: info@nsjbio.com
Home >> Antibodies >> CSF1R Antibody

CSF1R Antibody (F50555)

  Catalog No Formulation Size Price (USD)  
Image F50555-0.4ML In 1X PBS, pH 7.4, with 0.09% sodium azide 0.4 ml 429
Image
F50555-0.08ML In 1X PBS, pH 7.4, with 0.09% sodium azide 0.08 ml 199
Bulk quote request
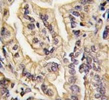
IHC analysis of FFPE human lung carcinoma tissue stained with CSF1R antibody
Western blot analysis of CSF1R antibody and human placenta. Predicted molecular weight: 106-116 kDa.
Western blot analysis of CSF1R antibody and 293 cell lysate (2 ug/lane) either nontransfected (Lane 1) or transiently transfected with the CSF1R gene (2).
CSF1R antibody flow cytometric analysis of NCI-H460 cells (right histogram) compared to a negative control (left histogram). FITC-conjugated goat-anti-rabbit secondary Ab was used for the analysis.
Availability 1-3 business days
Species Reactivity Human
Format Purified
Clonality Polyclonal (rabbit origin)
Isotype Rabbit Ig
Purity Purified
UniProt P07333
Applications Western Blot : 1:1000
Flow Cytometry : 1:10-1:50
IHC (Paraffin) : 1:10-1:50
Limitations This CSF1R antibody is available for research use only.
Review this product on BioCompare and get a $20 Amazon gift card

Related Products

Description

CSF1R is the receptor for colony stimulating factor 1, a cytokine which controls the production, differentiation, and function of macrophages. This receptor mediates most if not all of the biological effects of this cytokine. Ligand binding activates the receptor kinase through a process of oligomerization and transphosphorylation. This protein is a tyrosine kinase transmembrane receptor and member of the CSF1/PDGF receptor family of tyrosine-protein kinases. Mutations in the gene encoding CSF1R have been associated with a predisposition to myeloid malignancy.

Application Notes

Titration of the CSF1R antibody may be required due to differences in protocols and secondary/substrate sensitivity.

Immunogen

A portion of amino acids 940-971 from the human protein was used as the immunogen for this CSF1R antibody.

Storage

Aliquot the CSF1R antibody and store frozen at -20oC or colder. Avoid repeated freeze-thaw cycles.

Cross
Bulk Quote Request Form
Name*:
Organization*:
Email*:
Phone Number*:
Catalog No.*:
Comments and Specifics(amount, formulation, etc.)*:
Validation code: Captchapackage Image


Can't read the image? click here to refresh.
    *required field

Your bulk quote request has been submitted successfully!

Please contact us if you have any questions.