• Tel: 858.663.9055
  • SeparatorEmail: info@nsjbio.com
  • Tel: 858.663.9055
  • Email: info@nsjbio.com
Home >> Antibodies >> Csf-1 Antibody

Csf-1 Antibody (R31901)

  Catalog No Formulation Size Price (USD)  
Image R31901 0.5mg/ml if reconstituted with 0.2ml sterile DI water 100 ug 439
Bulk quote request
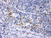
IHC testing of FFPE mouse spleen with Csf-1 antibody. HIER: Boil the paraffin sections in pH 6, 10mM citrate buffer for 20 minutes and allow to cool prior to staining.
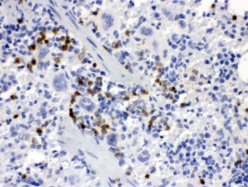
IHC testing of FFPE rat spleen with Csf-1 antibody. HIER: Boil the paraffin sections in pH 6, 10mM citrate buffer for 20 minutes and allow to cool prior to staining.
Availability 1-3 business days
Species Reactivity Mouse, Rat
Format Antigen affinity purified
Clonality Polyclonal (rabbit origin)
Isotype Rabbit IgG
Purity Antigen affinity
Buffer Lyophilized from 1X PBS with 2.5% BSA and 0.025% sodium azide
UniProt P07141
Localization Cytoplasmic, membrane
Applications IHC (FFPE) : 0.5-1ug/ml
ELISA : 0.1-0.5ug/ml (mouse protein tested); request BSA-free format for coating
Limitations This Csf-1 antibody is available for research use only.
Review this product on BioCompare and get a $20 Amazon gift card

Related Products

Description

Macrophage Colony Stimulating Factor 1, also called MCSF or CSF1, is a hematopoietic growth factor that is involved in the proliferation, differentiation, and survival ofmonocytes, macrophages, and bone marrow progenitor cells. MCSF affects macrophages and monocytes in several ways, including stimulating increased phagocytic and chemotactic activity, and increased tumour cell cytotoxicity. The role of MCSF is not only restricted to the monocyte/macrophage cell lineage. By interacting with its membrane receptor (CSF1R or MCSFR encoded by the c-fms proto-oncogene), MCSF also modulates the proliferation of earlier hematopoietic progenitors and influence numerous physiological processes involved in immunology, metabolism, fertility and pregnancy.

Application Notes

Optimal dilution of the Csf-1 antibody should be determined by the researcher.

Immunogen

Amino acids 33-262 of mouse Colony stimulating factor 1 were used as the immunogen for the Csf-1 antibody.

Storage

After reconstitution, the Csf-1 antibody can be stored for up to one month at 4oC. For long-term, aliquot and store at -20oC. Avoid repeated freezing and thawing.

Cross
Bulk Quote Request Form
Name*:
Organization*:
Email*:
Phone Number*:
Catalog No.*:
Comments and Specifics(amount, formulation, etc.)*:
Validation code: Captchapackage Image


Can't read the image? click here to refresh.
    *required field

Your bulk quote request has been submitted successfully!

Please contact us if you have any questions.