• Tel: 858.663.9055
  • SeparatorEmail: info@nsjbio.com
  • Tel: 858.663.9055
  • Email: info@nsjbio.com
Home >> Antibodies >> CSEN Antibody

CSEN Antibody (R31396)

  Catalog No Formulation Size Price (USD)  
Image R31396 0.5mg/ml if reconstituted with 0.2ml sterile DI water 100 ug 439
Bulk quote request
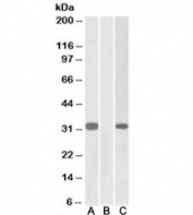
Western blot testing of CSEN antibody and Lane 1: HeLa; 2: U87; 3: SHG-44 lysate. Predicted/observed molecular weight: ~29kDa.
Availability 1-3 business days
Species Reactivity Human
Format Antigen affinity purified
Clonality Polyclonal (rabbit origin)
Isotype Rabbit IgG
Purity Antigen affinity
Buffer Lyophilized from 1X PBS with 2.5% BSA and 0.025% sodium azide/thimerosal
UniProt Q9Y2W7
Applications Western Blot : 0.5-1ug/ml
Limitations This CSEN antibody is available for research use only.
Review this product on BioCompare and get a $20 Amazon gift card

Related Products

Description

Calsenilin (CSEN) is a calcium-dependent transcriptional repressor that is highly expressed in central nervous system, thyroid gland, testis, thymus, and immune cells. The KCNIP3 gene encodes a member of the family of voltage-gated potassium(Kv) channel-interacting proteins, which belong to the neuronal calcium sensor family of proteins. Calsenilin functions as a calcium-regulated transcriptional repressor, and interacts with presenilins. KCNIP3-regulated genes have a critical function in Ig subclass production and proliferation in B lymphocytes. It has been shown to interact with PSEN1 and PSEN2.

Application Notes

The stated application concentrations are suggested starting amounts. Titration of the CSEN antibody may be required due to differences in protocols and secondary/substrate sensitivity.

Immunogen

An amino acid sequence from the N-terminus of human Calsenilin (MQPAKEVTKASDGSLL) was used as the immunogen for this CSEN antibody.

Storage

After reconstitution, the CSEN antibody can be stored for up to one month at 4oC. For long-term, aliquot and store at -20oC. Avoid repeated freezing and thawing.

Cross
Bulk Quote Request Form
Name*:
Organization*:
Email*:
Phone Number*:
Catalog No.*:
Comments and Specifics(amount, formulation, etc.)*:
Validation code: Captchapackage Image


Can't read the image? click here to refresh.
    *required field

Your bulk quote request has been submitted successfully!

Please contact us if you have any questions.