• Tel: 858.663.9055
  • SeparatorEmail: info@nsjbio.com
  • Tel: 858.663.9055
  • Email: info@nsjbio.com
Home >> Antibodies >> CRYAB Antibody

CRYAB Antibody [clone CRYAB/4666] (V4187)

  Catalog No Formulation Size Price (USD)  
Image V4187-100UG 0.2 mg/ml in 1X PBS with 0.1 mg/ml BSA (US sourced), 0.05% sodium azide 100 ug 539
Image
V4187-20UG 0.2 mg/ml in 1X PBS with 0.1 mg/ml BSA (US sourced), 0.05% sodium azide 20 ug 249
Image
V4187SAF-100UG 1 mg/ml in 1X PBS; BSA free, sodium azide free 100 ug 539
Microvalidated
Bulk quote request
Western blot testing of human HeLa cell lysate with Crystallin Alpha B antibody (clone CRYAB/4666). Predicted molecular weight ~20 kDa.
SDS-PAGE analysis of purified, BSA-free Crystallin Alpha B antibody (clone CRYAB/4666) as confirmation of integrity and purity.
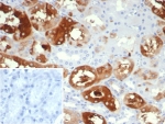
IHC staining of FFPE human kidney tissue with Crystallin Alpha B antibody (clone CRYAB/4666). Inset: PBS used in place of primary Ab (secondary Ab negative control). HIER: boil tissue sections in pH 9 10mM Tris with 1mM EDTA for 20 min and allow to cool before testing.
Analysis of a HuProt(TM) microarray containing more than 19,000 full-length human proteins using Crystallin Alpha B antibody (clone CRYAB/4666). Z- and S- Score: The Z-score represents the strength of a signal that a monoclonal antibody (in combination with a fluorescently-tagged anti-IgG secondary antibody) produces when binding to a particular protein on the HuProt(TM) array. Z-scores are described in units of standard deviations (SD's) above the mean value of all signals generated on that array. If targets on HuProt(TM) are arranged in descending order of the Z-score, the S-score is the difference (also in units of SD's) between the Z-score. S-score therefore represents the relative target specificity of a mAb to its intended target. A mAb is considered to specific to its intended target, if the mAb has an S-score of at least 2.5. For example, if a mAb binds to protein X with a Z-score of 43 and to protein Y with a Z-score of 14, then the S-score for the binding of that mAb to protein X is equal to 29.
Western blot testing of human kidney tissue lysate with Crystallin Alpha B antibody (clone CRYAB/4666). Predicted molecular weight ~20 kDa.
Availability 1-3 business days
Species Reactivity Human
Format Purified
Clonality Monoclonal (mouse origin)
Isotype Mouse IgG1, kappa
Clone Name CRYAB/4666
Purity Protein A/G affinity
UniProt P02511
Localization Cytoplasm, Nucleus
Applications Western Blot : 1-2ug/ml
Immunohistochemistry (FFPE) : 1-2ug/ml for 30 min at RT
Limitations This CRYAB antibody is available for research use only.
Review this product on BioCompare and get a $20 Amazon gift card

Related Products

Description

Crystallins are the major proteins of the vertebrate eye lens, where they maintain the transparency and refractive index of the lens. Crystallins are divided into Alpha, beta and gamma families, and the beta- and gamma-crystallins also compose a superfamily. Crystallins usually contain seven distinct protein regions, including four homologous motifs, a connecting peptide, and N- and C-terminal extensions. Alpha-crystallins consist of three gene products, AlphaA-, AlphaB- and AlphaC-crystallin, which are members of the small heat shock protein family (HSP 20). Alpha-crystallins act as molecular chaperones by holding denatured proteins in large soluble aggregates. However, unlike other molecular chaperones, Alpha-crystallins do not renature these proteins. Expression of AlphaA-crystallin is restricted to the lens and defects of this gene cause the development of autosomal dominant congenital cataracts (ADCC). The human AlphaB-crystallin gene product is expressed in many tissues, including lens, heart and skeletal muscle. Elevated expression of AlphaB-crystallin is associated with many neurological diseases, and a missense mutation in this gene has co-segregated in a family with a Desmin-related myopathy.

Application Notes

Optimal dilution of the CRYAB antibody should be determined by the researcher.

Immunogen

A recombinant partial protein (within amino acids 1-175) from the human protein was used as the immunogen for the CRYAB antibody.

Storage

Aliquot the CRYAB antibody and store frozen at -20oC or colder. Avoid repeated freeze-thaw cycles.

Cross
Bulk Quote Request Form
Name*:
Organization*:
Email*:
Phone Number*:
Catalog No.*:
Comments and Specifics(amount, formulation, etc.)*:
Validation code: Captchapackage Image


Can't read the image? click here to refresh.
    *required field

Your bulk quote request has been submitted successfully!

Please contact us if you have any questions.