• Tel: 858.663.9055
  • SeparatorEmail: info@nsjbio.com
  • Tel: 858.663.9055
  • Email: info@nsjbio.com
Home >> Antibodies >> Crp Antibody

Crp Antibody (R32684)

  Catalog No Formulation Size Price (USD)  
Image R32684 0.5mg/ml if reconstituted with 0.2ml sterile DI water 100 ug 439
Bulk quote request
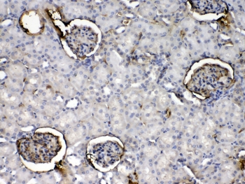
IHC testing of FFPE rat kidney tissue with Crp antibody at 1ug/ml. Required HIER: steam section in pH6 citrate buffer for 20 min and allow to cool prior to testing.
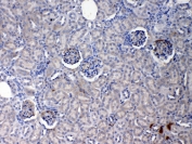
IHC testing of FFPE mouse kidney tissue with Crp antibody at 1ug/ml. Required HIER: steam section in pH6 citrate buffer for 20 min and allow to cool prior to testing.
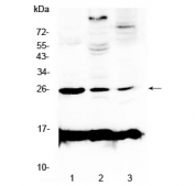
Western blot testing of rat 1) spleen, 2) brain and 3) thymus tissue with Crp antibody at 0.5ug/ml. Predicted molecular weight ~25 kDa.
Availability 1-3 business days
Species Reactivity Mouse, Rat
Format Antigen affinity purified
Clonality Polyclonal (rabbit origin)
Isotype Rabbit IgG
Purity Antigen affinity
Buffer Lyophilized from 1X PBS with 2.5% BSA, 0.025% sodium azide
UniProt P14847
Localization Cytoplasmic, extracellular
Applications Western Blot : 0.5-1ug/ml
IHC (FFPE) : 1-2ug/ml
ELISA : 0.1-0.5ug/ml (mouse protein tested; request BSA-free format for coating)
Limitations This Crp antibody is available for research use only.
Review this product on BioCompare and get a $20 Amazon gift card

Related Products

Description

C Reactive Protein (CRP) is a major acute phase reactant synthesized primarily in the liver hepatocytes. It is composed of five identical, 21,500-molecular weight subunits. CRP mediates activities associated with preimmune nonspecific host resistance. CRP shows the strongest association with cardiovascular events. It is detectable on the surface of about 4% of normal peripheral blood lymphocytes. Acute phase reactant CRP is produced in the liver.

Application Notes

Optimal dilution of the Crp antibody should be determined by the researcher.

Immunogen

Amino acids H20-S225 from the mouse protein were used as the immunogen for the Crp antibody.

Storage

After reconstitution, the Crp antibody can be stored for up to one month at 4oC. For long-term, aliquot and store at -20oC. Avoid repeated freezing and thawing.

Cross
Bulk Quote Request Form
Name*:
Organization*:
Email*:
Phone Number*:
Catalog No.*:
Comments and Specifics(amount, formulation, etc.)*:
Validation code: Captchapackage Image


Can't read the image? click here to refresh.
    *required field

Your bulk quote request has been submitted successfully!

Please contact us if you have any questions.