• Tel: 858.663.9055
  • SeparatorEmail: info@nsjbio.com
  • Tel: 858.663.9055
  • Email: info@nsjbio.com
Home >> Antibodies >> CRMP2 Antibody / DPYSL2

CRMP2 Antibody / DPYSL2 (RQ7974)

  Catalog No Formulation Size Price (USD)  
Image RQ7974 0.5mg/ml if reconstituted with 0.2ml sterile DI water 100 ug 439
Bulk quote request
Immunofluorescent staining of FFPE human A549 cells with CRMP2 antibody (green) and DAPI nuclear stain (blue). HIER: steam section in pH6 citrate buffer for 20 min.
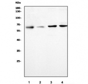
Western blot testing of 1) human U-87 MG, 2) human SH-SY5Y, 3) rat brain and 4) mouse brain tissue lysate with CRMP2 antibody. Predicted molecular weight ~62 kDa.
Availability 1-3 business days
Species Reactivity Human, Mouse, Rat
Format Antigen affinity purified
Clonality Polyclonal (rabbit origin)
Isotype Rabbit IgG
Purity Antigen affinity purified
Buffer Lyophilized from 1X PBS with 2% Trehalose
UniProt Q16555
Localization Cytoplasmic, cell membrane
Applications Western Blot : 0.5-1ug/ml
Immunofluorescence : 5ug/ml
Limitations This CRMP2 antibody is available for research use only.
Review this product on BioCompare and get a $20 Amazon gift card

Description

Dihydropyrimidinase-related protein 2, also called Collapsin response mediator protein 2 (CRMP2), is an enzyme that in humans is encoded by the DPYSL2 gene. This gene encodes a member of the collapsin response mediator protein family. Collapsin response mediator proteins form homo- and hetero-tetramers and facilitate neuron guidance, growth and polarity. The encoded protein promotes microtubule assembly and is required for Sema3A-mediated growth cone collapse, and also plays a role in synaptic signaling through interactions with calcium channels. This gene has been implicated in multiple neurological disorders, and hyperphosphorylation of the encoded protein may play a key role in the development of Alzheimer's disease. Alternatively spliced transcript variants encoding multiple isoforms have been observed for this gene.

Application Notes

Optimal dilution of the CRMP2 antibody should be determined by the researcher.

Immunogen

Amio acids KDRFQLTDCQIYEVLSV were used as the immunogen for the CRMP2 antibody.

Storage

After reconstitution, the CRMP2 antibody can be stored for up to one month at 4oC. For long-term, aliquot and store at -20oC. Avoid repeated freezing and thawing.

Cross
Bulk Quote Request Form
Name*:
Organization*:
Email*:
Phone Number*:
Catalog No.*:
Comments and Specifics(amount, formulation, etc.)*:
Validation code: Captchapackage Image


Can't read the image? click here to refresh.
    *required field

Your bulk quote request has been submitted successfully!

Please contact us if you have any questions.