• Tel: 858.663.9055
  • SeparatorEmail: info@nsjbio.com
  • Tel: 858.663.9055
  • Email: info@nsjbio.com
Home >> Antibodies >> CRM1 Antibody / XPO1 / Exportin 1 / Chromosome region maintenance 1

CRM1 Antibody / XPO1 / Exportin 1 / Chromosome region maintenance 1 (R32412)

  Catalog No Formulation Size Price (USD)  
Image R32412 0.5mg/ml if reconstituted with 0.2ml sterile DI water 100 ug 439
Bulk quote request
Western blot testing of 1) rat heart, 2) mouse brain, and 3) human A549 lysate with CRM1 antibody. Expected/observed molecular weight ~123 kDa.
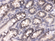
IHC testing of FFPE human intestinal cancer tissue with CRM1 antibody. Boil the paraffin sections in pH 6, 10mM citrate buffer for 20 minutes and allow to cool prior to testing.
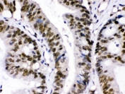
IHC testing of FFPE mouse intestine with CRM1 antibody. Boil the paraffin sections in pH 6, 10mM citrate buffer for 20 minutes and allow to cool prior to testing.
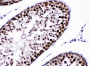
IHC testing of FFPE rat testis with CRM1 antibody. Boil the paraffin sections in pH 6, 10mM citrate buffer for 20 minutes and allow to cool prior to testing.
IHC testing of frozen mouse intestine tissue with CRM1 antibody.
IHC testing of frozen rat intestine tissue with CRM1 antibody.
IHC testing of frozen rat testis tissue with CRM1 antibody.
Availability 1-3 business days
Species Reactivity Human, Mouse, Rat
Format Antigen affinity purified
Clonality Polyclonal (rabbit origin)
Isotype Rabbit IgG
Purity Antigen affinity
Buffer Lyophilized from 1X PBS with 2.5% BSA, 0.025% sodium azide
UniProt O14980
Localization Nuclear, cytoplasmic
Applications Western Blot : 0.1-0.5ug/ml
IHC (FFPE) : 0.5-1ug/ml
IHC (Frozen) : 0.5-1ug/ml
Limitations This CRM1 antibody is available for research use only.
Review this product on BioCompare and get a $20 Amazon gift card

Related Products

Description

Exportin 1 (XPO1), also known as chromosomal maintenance 1 (CRM1), is an eukaryotic protein that mapped to human chromosome 2p16 by fluorescence in situ hybridization. This protein mediates leucine-rich nuclear export signal (NES)-dependent protein transport. It specifically inhibits the nuclear export of Rev and U snRNAs. Additionally, this protein is involved in the control of several cellular processes by controlling the localization of cyclin B, MPAK, and MAPKAP kinase 2. It also regulates NFAT and AP-1.

Application Notes

Optimal dilution of the CRM1 antibody should be determined by the researcher.

Immunogen

Amino acids N966-D1071 from the human protein were used as the immunogen for the CRM1 antibody.

Storage

After reconstitution, the CRM1 antibody can be stored for up to one month at 4oC. For long-term, aliquot and store at -20oC. Avoid repeated freezing and thawing.

Cross
Bulk Quote Request Form
Name*:
Organization*:
Email*:
Phone Number*:
Catalog No.*:
Comments and Specifics(amount, formulation, etc.)*:
Validation code: Captchapackage Image


Can't read the image? click here to refresh.
    *required field

Your bulk quote request has been submitted successfully!

Please contact us if you have any questions.