• Tel: 858.663.9055
  • SeparatorEmail: info@nsjbio.com
  • Tel: 858.663.9055
  • Email: info@nsjbio.com
Home >> Antibodies >> CRM1 Antibody / XPO1 / Exportin 1 / Chromosome region maintenance 1

CRM1 Antibody / XPO1 / Exportin 1 / Chromosome region maintenance 1 [clone AEFD-24] (RQ4719)

  Catalog No Formulation Size Price (USD)  
Image RQ4719 Antibody in PBS with 0.02% sodium azide, 50% glycerol and 0.4-0.5mg/ml BSA 100 ul 439
Microvalidated Rab Mono Image
Bulk quote request
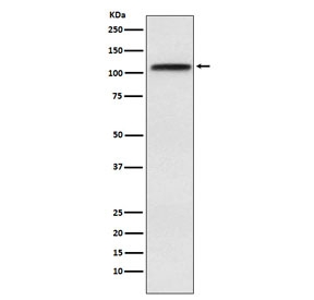
Western blot testing of human HeLa cell lysate with CRM1 antibody. Predicted molecular weight ~123 kDa.
Availability 1-2 weeks
Species Reactivity Human, Mouse, Rat
Format Purified
Clonality Rabbit Monoclonal
Isotype Rabbit IgG
Clone Name AEFD-24
Purity Affinity purified
UniProt O14980
Applications Western Blot : 1:500-1:2000
Limitations This CRM1 antibody is available for research use only.
Review this product on BioCompare and get a $20 Amazon gift card

Related Products

Description

Mediates the nuclear export of cellular proteins (cargos) bearing a leucine-rich nuclear export signal (NES) and of RNAs. In the nucleus, in association with RANBP3, binds cooperatively to the NES on its target protein and to the GTPase RAN in its active GTP-bound form (Ran-GTP). Docking of this complex to the nuclear pore complex (NPC) is mediated through binding to nucleoporins.

Application Notes

Optimal dilution of the CRM1 antibody should be determined by the researcher.

Immunogen

A synthetic peptide specific to human CRM1 / XPO1 was used as the immunogen for the CRM1 antibody.

Storage

Store the CRM1 antibody at -20oC.

Cross
Bulk Quote Request Form
Name*:
Organization*:
Email*:
Phone Number*:
Catalog No.*:
Comments and Specifics(amount, formulation, etc.)*:
Validation code: Captchapackage Image


Can't read the image? click here to refresh.
    *required field

Your bulk quote request has been submitted successfully!

Please contact us if you have any questions.