• Tel: 858.663.9055
  • SeparatorEmail: info@nsjbio.com
  • Tel: 858.663.9055
  • Email: info@nsjbio.com
Home >> Antibodies >> CrkL Antibody / Crk-like protein

CrkL Antibody / Crk-like protein [clone 32C63] (FY12832)

  Catalog No Formulation Size Price (USD)  
Image FY12832 Rabbit IgG in phosphate buffered saline, pH 7.4, 150mM NaCl, 0.02% sodium azide and 50% glycerol, 0.4-0.5mg/ml BSA 100 ul 439
Microvalidated Recrabbitmono
Bulk quote request
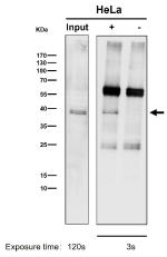
Western blot analysis of CRKL using anti-CRKL antibody. Electrophoresis was performed on a 10% SDS-PAGE gel at 80V (Stacking gel) / 120V (Resolving gel) for 2 hours. Lane 1: human Hela whole cell lysates, Lane 2: human Jurkat whole cell lysates, Lane 3: human HepG2 whole cell lysates, Lane 4: human Raji whole cell lysates, Lane 5: rat spleen tissue lysates, Lane 6: rat heart tissue lysates, Lane 7: mouse spleen tissue lysates, Lane 8: mouse heart tissue lysates. After electrophoresis, proteins were transferred to a nitrocellulose membrane at 150 mA for 50-90 minutes. Blocked the membrane with 5% non-fat milk/TBS for 1.5 hour at RT. The membrane was incubated with rabbit anti-CRKL antibody at 1:500 overnight at 4oC, then washed with TBS-0.1%Tween 3 times with 5 minutes each and probed with a goat anti-rabbit IgG-HRP secondary antibody at a dilution of 1:5000 for 1.5 hour at RT. The signal was developed using an ECL Plus Western Blotting Substrate. A specific band was detected for CRKL at approximately 37 kDa. The expected molecular weight of CRKL is 34-39 kDa.
Immunoprecipitation analysis using the CRKL antibody at 1:50 dilution. Western blot at 1:1000 dilution. The expected molecular weight of CRKL is 34-39 kDa.
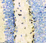
Immunohistochemical staining of CRKL using anti-CRKL antibody. CRKL was detected in a paraffin-embedded section of mouse brain tissue. Heat mediated antigen retrieval was performed in EDTA buffer (pH 8.0, epitope retrieval solution). The tissue section was blocked with 10% goat serum. The tissue section was then incubated with 1:50 rabbit anti-CRKL antibody overnight at 4oC. Peroxidase Conjugated Goat Anti-rabbit IgG was used as secondary antibody and incubated for 30 minutes at 37oC. The tissue section was developed using an HRP secondary and DAB substrate.
Immunohistochemical staining of CRKL using anti-CRKL antibody. CRKL was detected in a paraffin-embedded section of mouse brain tissue. Heat mediated antigen retrieval was performed in EDTA buffer (pH 8.0, epitope retrieval solution). The tissue section was blocked with 10% goat serum. The tissue section was then incubated with 1:50 rabbit anti-CRKL antibody overnight at 4oC. Peroxidase Conjugated Goat Anti-rabbit IgG was used as secondary antibody and incubated for 30 minutes at 37oC. The tissue section was developed using an HRP secondary and DAB substrate.
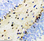
Immunohistochemical staining of CRKL using anti-CRKL antibody. CRKL was detected in a paraffin-embedded section of rat brain tissue. Heat mediated antigen retrieval was performed in EDTA buffer (pH 8.0, epitope retrieval solution). The tissue section was blocked with 10% goat serum. The tissue section was then incubated with 1:50 rabbit anti-CRKL antibody overnight at 4oC. Peroxidase Conjugated Goat Anti-rabbit IgG was used as secondary antibody and incubated for 30 minutes at 37oC. The tissue section was developed using an HRP secondary and DAB substrate.
Immunohistochemical staining of CRKL using anti-CRKL antibody. CRKL was detected in a paraffin-embedded section of rat brain tissue. Heat mediated antigen retrieval was performed in EDTA buffer (pH 8.0, epitope retrieval solution). The tissue section was blocked with 10% goat serum. The tissue section was then incubated with 1:50 rabbit anti-CRKL antibody overnight at 4oC. Peroxidase Conjugated Goat Anti-rabbit IgG was used as secondary antibody and incubated for 30 minutes at 37oC. The tissue section was developed using an HRP secondary and DAB substrate.
Availability 2-3 weeks
Species Reactivity Human, Mouse, Rat
Format Liquid
Clonality Recombinant Rabbit Monoclonal
Isotype Rabbit IgG
Clone Name 32C63
Purity Affinity chromatography
Buffer Rabbit IgG in phosphate buffered saline, pH 7.4, 150mM NaCl, 0.02% sodium azide and 50% glycerol, 0.4-0.5mg/ml BSA.
UniProt P46109
Localization Cytoplasmic, Nuclear
Applications Western Blot : 1:500-1:2000
Immunohistochemistry : 1:50-1:200
Immunocytochemistry/Immunofluorescence : 1:50-1:200
Immunoprecipitation : 1:50
Flow Cytometry : 1:50
Limitations This CRKL antibody is available for research use only.
Review this product on BioCompare and get a $20 Amazon gift card

Related Products

Description

CrkL antibody detects Crk-like protein, encoded by the CRKL gene. Other identifiers include v-crk avian sarcoma virus CT10 oncogene homolog-like, adaptor protein CRKL, and CRK-like proto-oncogene. CrkL is a member of the Crk family of adaptor proteins that contain SH2 and SH3 domains. These modular domains mediate interactions with phosphorylated tyrosines and proline-rich motifs, enabling CrkL to assemble signaling complexes downstream of receptor tyrosine kinases, cytokine receptors, and integrins. By linking upstream receptors to downstream effectors, CrkL regulates processes such as cell adhesion, migration, proliferation, and survival.

CrkL antibody is widely applied in cancer biology, immunology, and signal transduction research. CrkL is required for BCR-ABL signaling in chronic myeloid leukemia, where it mediates oncogenic transformation and survival. CrkL phosphorylation status serves as a biomarker for monitoring tyrosine kinase inhibitor therapy in leukemia patients. Beyond cancer, CrkL regulates immune receptor signaling, T cell activation, and integrin-mediated adhesion.

Applications for CrkL antibody include western blotting, immunohistochemistry, immunofluorescence, and ELISA. Western blotting detects CrkL protein and phosphorylation isoforms, immunohistochemistry maps expression in tumors and lymphoid tissues, and immunofluorescence highlights localization at focal adhesions and signaling complexes. These methods provide comprehensive tools for analyzing CrkL biology in both normal and disease contexts.

Dysregulation of CrkL contributes to leukemia, solid tumors, and immune disorders. Overexpression and abnormal phosphorylation promote cell transformation, invasion, and therapy resistance. By applying CrkL antibody, researchers can evaluate CrkL as a diagnostic marker and therapeutic target. In development, CrkL supports neural crest migration and organogenesis, linking it to congenital malformations when disrupted.

CrkL interacts with proteins including CBL, paxillin, p130CAS, and STAT5, orchestrating diverse signaling cascades. Antibody-based detection allows detailed dissection of these interactions across pathways. NSJ Bioreagents provides CrkL antibody with validated specificity, supporting reliable detection in cancer, immunology, and signaling studies.

Application Notes

Optimal dilution of the CRKL antibody should be determined by the researcher.

Immunogen

A synthesized peptide derived from human CrkL was used as the immunogen for the CRKL antibody.

Storage

Store the CRKL antibody at -20oC.

Cross
Bulk Quote Request Form
Name*:
Organization*:
Email*:
Phone Number*:
Catalog No.*:
Comments and Specifics(amount, formulation, etc.)*:
Validation code: Captchapackage Image


Can't read the image? click here to refresh.
    *required field

Your bulk quote request has been submitted successfully!

Please contact us if you have any questions.