• Tel: 858.663.9055
  • SeparatorEmail: info@nsjbio.com
  • Tel: 858.663.9055
  • Email: info@nsjbio.com
Home >> Antibodies >> CRISP2 Antibody

CRISP2 Antibody (R35298)

  Catalog No Formulation Size Price (USD)  
Image R35298-100UG 0.5 mg/ml in 1X TBS, pH7.3, with 0.5% BSA (US sourced) and 0.02% sodium azide 100 ug 449
Bulk quote request
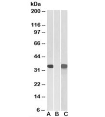
Western blot of HEK293 transfected with human CRISP2-MYC tested with CRISP2 antibody (0.1ug/ml) in Lane A and anti-MYC (1/1000) in lane C. Mock-transfected HEK293 probed with CRISP2 (1ug/ml) in Lane B. Predicted molecular weight: ~27/31kDa (isoforms 1/2).
Availability 1-3 business days
Species Reactivity Human
Predicted Reactivity Dog, Pig
Format Antigen affinity purified
Clonality Polyclonal (goat origin)
Isotype Goat Ig
Purity Antigen affinity
Gene ID 7180
Applications Western Blot : 1-3ug/ml
ELISA (peptide) LOD : 1:8000
Limitations This CRISP2 antibody is available for research use only.
Review this product on BioCompare and get a $20 Amazon gift card

Related Products

  • Applications : WB (transfected), ELISA (peptide)
    Reactivity : Human
    Pred. Reactivity : Cow, Dog, Pig

Description

Additional name(s) for this target protein: Cysteine-rich secretory protein 2

Application Notes

Optimal dilution of the CRISP2 antibody should be determined by the researcher.

1. A 55kDa band was observed in human testis (27-31kDa is expected).

Immunogen

Amino acids QHSDPEDRKTSTR were used as the immunogen for this CRISP2 antibody.

Storage

Aliquot and store the CRISP2 antibody at -20oC.

Cross
Bulk Quote Request Form
Name*:
Organization*:
Email*:
Phone Number*:
Catalog No.*:
Comments and Specifics(amount, formulation, etc.)*:
Validation code: Captchapackage Image


Can't read the image? click here to refresh.
    *required field

Your bulk quote request has been submitted successfully!

Please contact us if you have any questions.