• Tel: 858.663.9055
  • SeparatorEmail: info@nsjbio.com
  • Tel: 858.663.9055
  • Email: info@nsjbio.com
Home >> Antibodies >> Cripto-1 Antibody

Cripto-1 Antibody (R36371)

  Catalog No Formulation Size Price (USD)  
Image R36371-100UG 0.5 mg/ml in 1X TBS, pH7.3, with 0.5% BSA (US sourced) and 0.02% sodium azide 100 ug 449
Bulk quote request
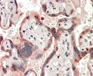
IHC testing of FFPE human placenta with Cripto-1 antibody at 4ug/ml. HIER: steamed with pH6 citrate buffer, AP-staining.
Availability 1-3 business days
Species Reactivity Human
Predicted Reactivity Cow, Dog, Mouse, Rat
Format Antigen affinity purified
Clonality Polyclonal (goat origin)
Isotype Goat Ig
Purity Antigen affinity
Gene ID 6997
Applications Immunohistochemistry (FFPE) : 3-5ug/ml
ELISA (peptide) LOD : 1:128000
Limitations This Cripto-1 antibody is available for research use only.
Review this product on BioCompare and get a $20 Amazon gift card

Related Products

Description

Additional name(s) for this target protein: Teratocarcinoma-derived growth factor 1; TDGF1

Application Notes

Optimal dilution of the Cripto-1 antibody should be determined by the researcher.

Immunogen

Amino acids YGRNCEHDVRKEN were used as the immunogen for this Cripto-1 antibody.

Storage

Aliquot and store the Cripto-1 antibody at -20oC.

Cross
Bulk Quote Request Form
Name*:
Organization*:
Email*:
Phone Number*:
Catalog No.*:
Comments and Specifics(amount, formulation, etc.)*:
Validation code: Captchapackage Image


Can't read the image? click here to refresh.
    *required field

Your bulk quote request has been submitted successfully!

Please contact us if you have any questions.