• Tel: 858.663.9055
  • SeparatorEmail: info@nsjbio.com
  • Tel: 858.663.9055
  • Email: info@nsjbio.com
Home >> Antibodies >> CRF1 Antibody

CRF1 Antibody (R34530)

  Catalog No Formulation Size Price (USD)  
Image R34530-100UG 0.5 mg/ml in 1X TBS, pH7.3, with 0.5% BSA (US sourced) and 0.02% sodium azide 100 ug 449
Bulk quote request
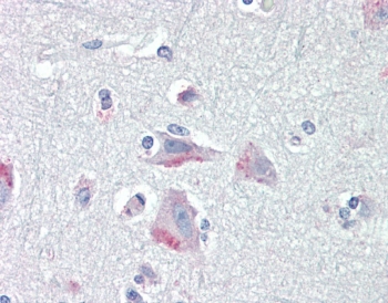
IHC testing of FFPE human cortex (brain) tissue with CRF1 antibody at 5ug/ml. Required HIER: steamed antigen retrieval with pH6 citrate buffer; AP-staining.
Availability 1-3 business days
Species Reactivity Human
Predicted Reactivity Mouse, Rat, Sheep, Dog, Cow
Format Antigen affinity purified
Clonality Polyclonal (goat origin)
Isotype Goat Ig
Purity Antigen affinity
Gene ID 1394
Applications Immunohistochemistry (FFPE) : 5ug/ml
ELISA (peptide) LOD : 1:16000
Limitations This CRF1 antibody is available for research use only.
Review this product on BioCompare and get a $20 Amazon gift card

Related Products

  • Applications : WB, ELISA (peptide)
    Reactivity : Human

Description

Additional name(s) for this target protein: Corticotropin releasing hormone receptor 1, CRFR1

Application Notes

Optimal dilution of the CRF1 antibody should be determined by the researcher.

1. Reported to specifically stain mouse brain by IHC and IF.

Immunogen

Amino acids KLYYDNEKCWFGKR were used as the immunogen for this CRF1 antibody.

Storage

Aliquot and store the CRF1 antibody at -20oC.

Cross
Bulk Quote Request Form
Name*:
Organization*:
Email*:
Phone Number*:
Catalog No.*:
Comments and Specifics(amount, formulation, etc.)*:
Validation code: Captchapackage Image


Can't read the image? click here to refresh.
    *required field

Your bulk quote request has been submitted successfully!

Please contact us if you have any questions.