• Tel: 858.663.9055
  • SeparatorEmail: info@nsjbio.com
  • Tel: 858.663.9055
  • Email: info@nsjbio.com
Home >> Antibodies >> Creatine kinase B Antibody / CKBB / CKB

Creatine kinase B Antibody / CKBB / CKB [clone CKBB/8840R] (V4390)

  Catalog No Formulation Size Price (USD)  
Image V4390-100UG 0.2 mg/ml in 1X PBS with 0.1 mg/ml BSA (US sourced), 0.05% sodium azide 100 ug 539
Image
V4390-20UG 0.2 mg/ml in 1X PBS with 0.1 mg/ml BSA (US sourced), 0.05% sodium azide 20 ug 249
Image
V4390SAF-100UG 1 mg/ml in 1X PBS; BSA free, sodium azide free 100 ug 539
Microvalidated Recrabbitmono
Bulk quote request
Western blot analysis of Human Brain, Mouse Brain, Rat Brain, Hamster Brain, Guinea pig Brain, Human Stomach, Mouse Stomach, Rat Stomach, Hamster Stomach and Guinea pig Stomach tissue lysates using Creatine kinase B antibody (clone CKBB/8840R). Predicted molecular weight ~43 kDa.
SDS-PAGE analysis of purified, BSA-free Creatine kinase B antibody (clone CKBB/8840R) as confirmation of integrity and purity.
Western blot testing of human Y79 and HEK293 cell lysate with Creatine phosphokinase BB antibody (clone CKBB/8840R). Predicted molecular weight ~43 kDa.
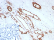
IHC staining of FFPE human kidney tissue with Creatine kinase B antibody (clone CKBB/8840R). Inset: PBS used in place of primary Ab (secondary Ab negative control). HIER: boil tissue sections in pH 9 10mM Tris with 1mM EDTA for 20 min and allow to cool before testing.
Availability 1-3 business days
Species Reactivity Human, Mouse, Rat, Hamster, Guinea pig
Format Purified
Clonality Recombinant Rabbit Monoclonal
Isotype Rabbit IgG, kappa
Clone Name CKBB/8840R
Purity Protein A/G affinity
UniProt P12277
Localization Cytoplasm
Applications Immunohistochemistry (FFPE) : 1-2ug/ml for 30 min at RT
Western Blot : 2-4ug/ml
Limitations This Creatine kinase B antibody is available for research use only.
Review this product on BioCompare and get a $20 Amazon gift card

Related Products

Description

Creatine kinase B antibody detects Creatine kinase B-type, also known as CKBB or CKB, an enzyme that sustains energy homeostasis in tissues with rapid and variable ATP turnover. The UniProt recommended name is Creatine kinase B-type (CKB). This cytosolic phosphotransferase catalyzes the reversible conversion of ATP and creatine into phosphocreatine and ADP, providing a fast-acting buffer for intracellular energy management.

Functionally, Creatine kinase B antibody identifies a key enzyme of the phosphocreatine energy system that supports neuronal and muscular performance. In the brain, CKBB localizes near Na+/K+-ATPase pumps, synaptic vesicles, and cytoskeletal structures to regenerate ATP precisely where it is consumed. This coupling between energy production and utilization ensures stable neurotransmission, membrane potential maintenance, and synaptic vesicle recycling. CKB also plays roles in oxidative stress defense by stabilizing mitochondrial energy flux under conditions of high metabolic demand.

The CKB gene resides on chromosome 14q32.33 and encodes a 381-amino-acid protein that functions mainly as a homodimer. Each subunit contains catalytic residues for binding ATP and creatine, with magnesium serving as a cofactor for phosphate transfer. Expression is highest in brain, retina, and other excitable tissues, though CKB is also found in testis, placenta, and certain epithelial cells. During hypoxia or neural injury, CKBB levels rise in cerebrospinal fluid and serum, making it a sensitive biomarker for neuronal damage. Elevated CKB expression has also been documented in several cancer types, including small-cell lung carcinoma and colorectal adenocarcinoma, where it promotes ATP turnover and tumor cell motility.

Creatine kinase B antibody is widely used in immunohistochemistry, western blotting, and ELISA applications to study brain metabolism, mitochondrial function, and energy-related disease mechanisms. Its specificity for CKBB allows accurate assessment of bioenergetic pathways under physiological or stress conditions. Experimental depletion of Ckb impairs synaptic performance, reduces phosphocreatine buffering capacity, and increases susceptibility to ischemic injury. Conversely, enhanced CKB expression supports cell survival during metabolic stress by sustaining ATP levels.

Beyond the central nervous system, CKB contributes to energy regulation in sperm motility, retinal signaling, and smooth muscle contraction. Its enzymatic activity is modulated by redox balance, pH, and post-translational modifications such as phosphorylation. By enabling precise detection of this enzyme, Creatine kinase B antibody provides valuable insight into energy compartmentalization and metabolic resilience. NSJ Bioreagents offers this antibody validated for research use in metabolism, neuroscience, and oncology applications.

Application Notes

Optimal dilution of the Creatine kinase B antibody should be determined by the researcher.

Immunogen

Recombinant human full-length protein was used as the immunogen for the Creatine kinase B antibody.

Storage

Aliquot the Creatine kinase B antibody and store frozen at -20oC or colder. Avoid repeated freeze-thaw cycles.

Cross
Bulk Quote Request Form
Name*:
Organization*:
Email*:
Phone Number*:
Catalog No.*:
Comments and Specifics(amount, formulation, etc.)*:
Validation code: Captchapackage Image


Can't read the image? click here to refresh.
    *required field

Your bulk quote request has been submitted successfully!

Please contact us if you have any questions.