• Tel: 858.663.9055
  • SeparatorEmail: info@nsjbio.com
  • Tel: 858.663.9055
  • Email: info@nsjbio.com
Home >> Antibodies >> CPT1B Antibody

CPT1B Antibody (F48089)

  Catalog No Formulation Size Price (USD)  
Image F48089-0.4ML In 1X PBS, pH 7.4, with 0.09% sodium azide 0.4 ml 429
Image
F48089-0.08ML In 1X PBS, pH 7.4, with 0.09% sodium azide 0.08 ml 199
Bulk quote request
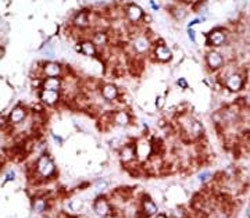
IHC analysis of FFPE human hepatocarcinoma tissue stained with the CPT1B antibody
Western blot analysis of CPT1B antibody and 293 cell lysate either nontransfected (Lane 1) or transiently transfected with the CPT1B gene (2).
Availability 1-3 business days
Species Reactivity Human
Format Purified
Clonality Polyclonal (rabbit origin)
Isotype Rabbit Ig
Purity Purified
UniProt Q92523
Applications Western Blot : 1:1000
IHC (Paraffin) : 1:50-1:100
Limitations This CPT1B antibody is available for research use only.
Review this product on BioCompare and get a $20 Amazon gift card

Related Products

  • Applications : WB, ELISA
    Reactivity : Human
  • Applications : IHC, ELISA (peptide)
    Reactivity : Human
  • Applications : WB, IHC-P, IHC-F, IF
    Reactivity : Human, Mouse, Rat

Description

CPT1B is a member of the carnitine/choline acetyltransferase family, and is the rate-controlling enzyme of the long-chain fatty acid beta-oxidation pathway in muscle mitochondria. This enzyme is required for the net transport of long-chain fatty acyl-CoAs from the cytoplasm into the mitochondria.

Application Notes

Titration of the CPT1B antibody may be required due to differences in protocols and secondary/substrate sensitivity.

Immunogen

A portion of amino acids 606-637 from the human protein was used as the immunogen for this CPT1B antibody.

Storage

Aliquot the CPT1B antibody and store frozen at -20oC or colder. Avoid repeated freeze-thaw cycles.

Cross
Bulk Quote Request Form
Name*:
Organization*:
Email*:
Phone Number*:
Catalog No.*:
Comments and Specifics(amount, formulation, etc.)*:
Validation code: Captchapackage Image


Can't read the image? click here to refresh.
    *required field

Your bulk quote request has been submitted successfully!

Please contact us if you have any questions.