• Tel: 858.663.9055
  • SeparatorEmail: info@nsjbio.com
  • Tel: 858.663.9055
  • Email: info@nsjbio.com
Home >> Antibodies >> CPT1A Antibody / CPT1-L

CPT1A Antibody / CPT1-L (F48084)

  Catalog No Formulation Size Price (USD)  
Image F48084-0.4ML In 1X PBS, pH 7.4, with 0.09% sodium azide 0.4 ml 429
Image
F48084-0.08ML In 1X PBS, pH 7.4, with 0.09% sodium azide 0.08 ml 199
Bulk quote request
Western blot analysis of CPT1A antibody and Y79 lysate. Predicted molecular weight ~86kDa.
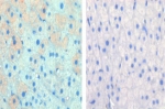
IHC data of FFPE cow lactation tissue tested with CPT1A antibody (left) and without primary Ab (right). This data was kindly offered by Hideaki Hayashi, University of Bern, Switzerland.
Availability 1-3 business days
Species Reactivity Human, Bovine
Format Purified
Clonality Polyclonal (rabbit origin)
Isotype Rabbit Ig
Purity Purified
UniProt P50416
Applications Western Blot : 1:1000
IHC (Paraffin) : 1:50-1:100
Limitations This CPT1A antibody is available for research use only.
Review this product on BioCompare and get a $20 Amazon gift card

Related Products

Description

The mitochondrial oxidation of long-chain fatty acids is initiated by the sequential action of carnitine palmitoyltransferase I (which is located in the outer membrane and is detergent-labile) and carnitine palmitoyltransferase II (which is located in the inner membrane and is detergent-stable), together with a carnitine-acylcarnitine translocase. CPT I is the key enzyme in the carnitine-dependent transport across the mitochondrial inner membrane and its deficiency results in a decreased rate of fatty acid beta-oxidation.

Application Notes

Titration of the CPT1A antibody may be required due to differences in protocols and secondary/substrate sensitivity.

Immunogen

A portion of amino acids 606-636 from the human protein was used as the immunogen for this CPT1A antibody.

Storage

Aliquot the CPT1A antibody and store frozen at -20oC or colder. Avoid repeated freeze-thaw cycles.

Cross
Bulk Quote Request Form
Name*:
Organization*:
Email*:
Phone Number*:
Catalog No.*:
Comments and Specifics(amount, formulation, etc.)*:
Validation code: Captchapackage Image


Can't read the image? click here to refresh.
    *required field

Your bulk quote request has been submitted successfully!

Please contact us if you have any questions.