• Tel: 858.663.9055
  • SeparatorEmail: info@nsjbio.com
  • Tel: 858.663.9055
  • Email: info@nsjbio.com
Home >> Antibodies >> CPAMD8 Antibody

CPAMD8 Antibody (RQ4937)

  Catalog No Formulation Size Price (USD)  
Image RQ4937 0.5mg/ml if reconstituted with 0.2ml sterile DI water 100 ug 439
Bulk quote request
Western blot testing of human 1) placenta, 2) T-47D, 3) U-2 OS, 4) K562, 5) ThP-1 and 6) monkey COS-7 lysate with CPAMD8 antibody at 0.5ug/ml. Predicted molecular weight ~207 kDa.
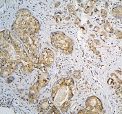
IHC staining of FFPE human breast cancer with CPAMD8 antibody at 1ug/ml. HIER: boil tissue sections in pH6, 10mM citrate buffer, for 10-20 min and allow to cool before testing.
IHC staining of FFPE human lung cancer with CPAMD8 antibody at 1ug/ml. HIER: boil tissue sections in pH6, 10mM citrate buffer, for 10-20 min and allow to cool before testing.
Availability 1-3 business days
Species Reactivity Human
Format Antigen affinity purified
Clonality Polyclonal (rabbit origin)
Isotype Rabbit IgG
Purity Antigen affinity purified
Buffer Lyophilized from 1X PBS with 2% Trehalose and 0.025% sodium azide
UniProt Q8IZJ3
Localization Cytoplasmic
Applications Western Blot : 0.5-1ug/ml
Immunohistochemistry (FFPE) : 1-2ug/ml
Direct ELISA : 0.1-0.5ug/ml
Limitations This CPAMD8 antibody is available for research use only.
Review this product on BioCompare and get a $20 Amazon gift card

Description

CPAMD8 belongs to the complement component-3 (C3) / alpha-2-macroglobulin (A2M) family of proteins, which are involved in innate immunity and damage control. The encoded protein is membrane-associated and proteolytically processed to generate two chains. Mutations in this gene cause a form of anterior segment dysgenesis, a developmental disorder of the eye. By genomic sequence analysis, the CPAMD8 gene is mapped to chromosome 19p13.3-p13.2.

Application Notes

Optimal dilution of the CPAMD8 antibody should be determined by the researcher.

Immunogen

Amino acids R58-D234 from the human protein were used as the immunogen for the CPAMD8 antibody.

Storage

After reconstitution, the CPAMD8 antibody can be stored for up to one month at 4oC. For long-term, aliquot and store at -20oC. Avoid repeated freezing and thawing.

Cross
Bulk Quote Request Form
Name*:
Organization*:
Email*:
Phone Number*:
Catalog No.*:
Comments and Specifics(amount, formulation, etc.)*:
Validation code: Captchapackage Image


Can't read the image? click here to refresh.
    *required field

Your bulk quote request has been submitted successfully!

Please contact us if you have any questions.