• Tel: 858.663.9055
  • SeparatorEmail: info@nsjbio.com
  • Tel: 858.663.9055
  • Email: info@nsjbio.com
Home >> Antibodies >> CPA1 Antibody / Carboxypeptidase A1

CPA1 Antibody / Carboxypeptidase A1 [clone CPA1/8289R] (V5227)

  Catalog No Formulation Size Price (USD)  
Image V5227-100UG 0.2 mg/ml in 1X PBS with 0.1 mg/ml BSA (US sourced), 0.05% sodium azide 100 ug 539
Image
V5227-20UG 0.2 mg/ml in 1X PBS with 0.1 mg/ml BSA (US sourced), 0.05% sodium azide 20 ug 249
Image
V5227SAF-100UG 1 mg/ml in 1X PBS; BSA free, sodium azide free 100 ug 539
Microvalidated Recrabbitmono
Bulk quote request
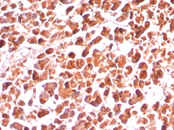
IHC staining of FFPE human pancreas tissue with CPA1 antibody (clone CPA1/8289R). HIER: boil tissue sections in pH 9 10mM Tris with 1mM EDTA for 20 min and allow to cool before testing.
SDS-PAGE analysis of purified, BSA-free CPA1 antibody (clone CPA1/8289R) as confirmation of integrity and purity.
Availability 1-3 business days
Species Reactivity Human
Format Purified
Clonality Recombinant Rabbit Monoclonal
Isotype Rabbit IgG, kappa
Clone Name CPA1/8289R
Purity Protein A/G affinity
UniProt P15085
Localization Secreted
Applications Immunohistochemistry (FFPE) : 1-2ug/ml for 30 min at RT
Limitations This CPA1 antibody is available for research use only.
Review this product on BioCompare and get a $20 Amazon gift card

Related Products

Description

Human pancreatic procarboxypeptidase A exists as three different active forms, two of which are designated carboxypeptidase A1 (CPA1) and carboxypeptidase A2 (CPA2). CPA1, also known as CPA, is a 419 amino acid secreted monomeric protein that is highly expressed in pancreatic tissue. Functioning as a pancreatic exopeptidase, CPA1 uses zinc as a cofactor to catalyze the release of C-terminal amino acids from a variety of proteins, thereby playing a key role in protein digestion and degradation. Via its catalytic activity, CPA1 is also thought to be involved in zymogen (proenzyme) inhibition, probably functioning to block enzyme activation pathways. Abnormal levels of CPA1 are associated with pancreatic cancer, suggesting a possible role in either tumor progression or tumor suppression events.

Application Notes

Optimal dilution of the CPA1 antibody should be determined by the researcher.

Immunogen

Recombinant full-length human CPA1 protein was used as the immunogen for the CPA1 antibody.

Storage

Aliquot the CPA1 antibody and store frozen at -20oC or colder. Avoid repeated freeze-thaw cycles.

Cross
Bulk Quote Request Form
Name*:
Organization*:
Email*:
Phone Number*:
Catalog No.*:
Comments and Specifics(amount, formulation, etc.)*:
Validation code: Captchapackage Image


Can't read the image? click here to refresh.
    *required field

Your bulk quote request has been submitted successfully!

Please contact us if you have any questions.