• Tel: 858.663.9055
  • SeparatorEmail: info@nsjbio.com
  • Tel: 858.663.9055
  • Email: info@nsjbio.com
Home >> Antibodies >> COX6B1 Antibody / Cytochrome c oxidase subunit 6B1

COX6B1 Antibody / Cytochrome c oxidase subunit 6B1 (RQ7971)

  Catalog No Formulation Size Price (USD)  
Image RQ7971 0.5mg/ml if reconstituted with 0.2ml sterile DI water 100 ug 439
Bulk quote request
Immunofluorescent staining of FFPE human A549 cells with COX6B1 antibody (green) and DAPI nuclear stain (blue). HIER: steam section in pH6 citrate buffer for 20 min.
IHC staining of FFPE human gallbladder adenocarcinoma tissue with COX6B1 antibody. HIER: boil tissue sections in pH8 EDTA for 20 min and allow to cool before testing.
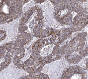
IHC staining of FFPE human liver cancer tissue with COX6B1 antibody. HIER: boil tissue sections in pH8 EDTA for 20 min and allow to cool before testing.
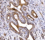
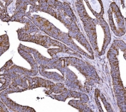
IHC staining of FFPE human colorectal cancer tissue with COX6B1 antibody. HIER: boil tissue sections in pH8 EDTA for 20 min and allow to cool before testing.
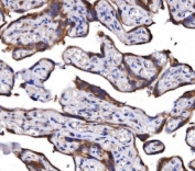
IHC staining of FFPE human placental tissue with COX6B1 antibody. HIER: boil tissue sections in pH8 EDTA for 20 min and allow to cool before testing.
IHC staining of FFPE human renal clear cell carcinoma tissue with COX6B1 antibody. HIER: boil tissue sections in pH8 EDTA for 20 min and allow to cool before testing.
Western blot testing of 1) rat heart and 2) mouse heart tissue lysate with COX6B1 antibody. Predicted molecular weight ~10 kDa.
Flow cytometry testing of human K562 cells with COX6B1 antibody at 1ug/million cells (blocked with goat sera); Red=cells alone, Green=isotype control, Blue= COX6B1 antibody.
Availability 1-3 business days
Species Reactivity Human, Mouse, Rat
Format Antigen affinity purified
Clonality Polyclonal (rabbit origin)
Isotype Rabbit IgG
Purity Antigen affinity purified
Buffer Lyophilized from 1X PBS with 2% Trehalose
UniProt P14854
Localization Cytoplasm
Applications Western Blot : 0.5-1ug/ml
Immunohistochemistry (FFPE) : 2-5ug/ml
Immunofluorescence : 5ug/ml
Flow Cytometry : 1-3ug/million cells
Limitations This COX6B1 antibody is available for research use only.
Review this product on BioCompare and get a $20 Amazon gift card

Description

Cytochrome c oxidase subunit 6B1 is an enzyme that in humans is encoded by the COX6B1 gene. Cytochrome c oxidase (COX), the terminal enzyme of the mitochondrial respiratory chain, catalyzes the electron transfer from reduced cytochrome c to oxygen. It is a heteromeric complex consisting of 3 catalytic subunits encoded by mitochondrial genes and multiple structural subunits encoded by nuclear genes. The mitochondrially-encoded subunits function in electron transfer, and the nuclear-encoded subunits may be involved in the regulation and assembly of the complex. This nuclear gene encodes subunit VIb. Mutations in this gene are associated with severe infantile encephalomyopathy. Three pseudogenes COX6BP-1, COX6BP-2 and COX6BP-3 have been found on chromosomes 7, 17 and 22q13.1-13.2, respectively.

Application Notes

Optimal dilution of the COX6B1 antibody should be determined by the researcher.

Immunogen

Amio acids TKIKNYKTAPFDSRF were used as the immunogen for the COX6B1 antibody.

Storage

After reconstitution, the COX6B1 antibody can be stored for up to one month at 4oC. For long-term, aliquot and store at -20oC. Avoid repeated freezing and thawing.

Cross
Bulk Quote Request Form
Name*:
Organization*:
Email*:
Phone Number*:
Catalog No.*:
Comments and Specifics(amount, formulation, etc.)*:
Validation code: Captchapackage Image


Can't read the image? click here to refresh.
    *required field

Your bulk quote request has been submitted successfully!

Please contact us if you have any questions.