• Tel: 858.663.9055
  • SeparatorEmail: info@nsjbio.com
  • Tel: 858.663.9055
  • Email: info@nsjbio.com
Home >> Antibodies >> COX5B Antibody / Cytochrome c oxidase subunit 5B

COX5B Antibody / Cytochrome c oxidase subunit 5B (RQ7222)

  Catalog No Formulation Size Price (USD)  
Image RQ7222 0.5mg/ml if reconstituted with 0.2ml sterile DI water 100 ug 439
Bulk quote request
Western blot testing of 1) rat heart, 2) rat liver, 3) rat brain, 4) mouse heart, 5) mouse liver, 6) mouse brain and 7) mouse lung tissue lysate with COX5B antibody. Predicted molecular weight ~14 kDa.
Western blot testing of human 1) HeLa, 2) HepG2, 3) PC-3, 4) 293T, 5) Caco-2, 6) MCF7, 7) HCCT and 8) HCCP cell lysate with COX5B antibody. Predicted molecular weight ~14 kDa.
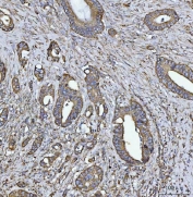
IHC staining of FFPE human esophageal squamous carcinoma tissue with COX5B antibody. HIER: boil tissue sections in pH8 EDTA for 20 min and allow to cool before testing.
IHC staining of FFPE human colorectal adenocarcinoma tissue with COX5B antibody. HIER: boil tissue sections in pH8 EDTA for 20 min and allow to cool before testing.
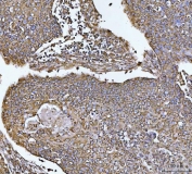
IHC staining of FFPE human ovarian cancer tissue with COX5B antibody. HIER: boil tissue sections in pH8 EDTA for 20 min and allow to cool before testing.
IHC staining of FFPE human tonsil tissue with COX5B antibody. HIER: boil tissue sections in pH8 EDTA for 20 min and allow to cool before testing.
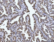
IHC staining of FFPE human lung cancer tissue with COX5B antibody. HIER: boil tissue sections in pH8 EDTA for 20 min and allow to cool before testing.
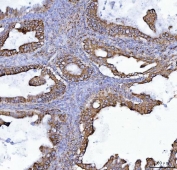
IHC staining of FFPE human breast cancer tissue with COX5B antibody. HIER: boil tissue sections in pH8 EDTA for 20 min and allow to cool before testing.
IHC staining of FFPE human endometrial carcinoma tissue with COX5B antibody. HIER: boil tissue sections in pH8 EDTA for 20 min and allow to cool before testing.
IHC staining of FFPE mouse brain tissue with COX5B antibody. HIER: boil tissue sections in pH8 EDTA for 20 min and allow to cool before testing.
IHC staining of FFPE rat brain tissue with COX5B antibody. HIER: boil tissue sections in pH8 EDTA for 20 min and allow to cool before testing.
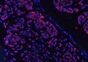
Immunofluorescent staining of FFPE human ovarian cancer tissue with COX5B antibody (red) and DAPI nuclear stain (blue). HIER: steam section in pH8 EDTA buffer for 20 min.
Immunofluorescent staining of FFPE human breast cancer tissue with COX5B antibody (red) and DAPI nuclear stain (blue). HIER: steam section in pH8 EDTA buffer for 20 min.
Immunofluorescent staining of FFPE human A549 cells with COX5B antibody (green) and DAPI nuclear stain (blue). HIER: steam section in pH6 citrate buffer for 20 min.
Flow cytometry testing of human 293T cells with COX5B antibody at 1ug/million cells (blocked with goat sera); Red=cells alone, Green=isotype control, Blue= COX5B antibody.
Availability 1-3 business days
Species Reactivity Human, Mouse, Rat
Format Antigen affinity purified
Clonality Polyclonal (rabbit origin)
Isotype Rabbit IgG
Purity Antigen affinity purified
Buffer Lyophilized from 1X PBS with 2% Trehalose
UniProt P10606
Localization Cytoplasmic (mitochondria)
Applications Western Blot : 0.5-1ug/ml
Immunohistochemistry (FFPE) : 2-5ug/ml
Immunofluorescence : 5ug/ml
Flow Cytometry : 1-3ug/million cells
Direct ELISA : 0.1-0.5ug/ml
Limitations This COX5B antibody is available for research use only.
Review this product on BioCompare and get a $20 Amazon gift card

Description

Cytochrome c oxidase subunit 5B, mitochondrial is an enzyme in humans that is a subunit of the cytochrome c oxidase complex, also known as Complex IV, the last enzyme in the mitochondrial electron transport chain. In humans, cytochrome c oxidase subunit 5B is encoded by the COX5B gene. Cytochrome C oxidase (COX) is the terminal enzyme of the mitochondrial respiratory chain. It is a multi-subunit enzyme complex that couples the transfer of electrons from cytochrome c to molecular oxygen and contributes to a proton electrochemical gradient across the inner mitochondrial membrane. The complex consists of 13 mitochondrial- and nuclear-encoded subunits. The mitochondrially-encoded subunits perform the electron transfer and proton pumping activities. The functions of the nuclear-encoded subunits are unknown but they may play a role in the regulation and assembly of the complex. This gene encodes the nuclear-encoded subunit Vb of the human mitochondrial respiratory chain enzyme.

Application Notes

Optimal dilution of the COX5B antibody should be determined by the researcher.

Immunogen

Recombinant human protein (amino acids M1-H129) was used as the immunogen for the COX5B antibody.

Storage

After reconstitution, the COX5B antibody can be stored for up to one month at 4oC. For long-term, aliquot and store at -20oC. Avoid repeated freezing and thawing.

Cross
Bulk Quote Request Form
Name*:
Organization*:
Email*:
Phone Number*:
Catalog No.*:
Comments and Specifics(amount, formulation, etc.)*:
Validation code: Captchapackage Image


Can't read the image? click here to refresh.
    *required field

Your bulk quote request has been submitted successfully!

Please contact us if you have any questions.