• Tel: 858.663.9055
  • SeparatorEmail: info@nsjbio.com
  • Tel: 858.663.9055
  • Email: info@nsjbio.com
Home >> Antibodies >> COX4I1 Antibody

COX4I1 Antibody (R35276)

  Catalog No Formulation Size Price (USD)  
Image R35276-100UG 0.5 mg/ml in 1X TBS, pH7.3, with 0.5% BSA (US sourced) and 0.02% sodium azide 100 ug 449
Bulk quote request
Western blot testing of human muscle lysate with COX4I1 antibody at 0.01ug/ml. Predicted molecular weight: ~20kDa.
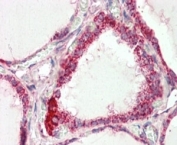
IHC staining of FFPE human thyroid gland with COX4I1 antibody at 2.5ug/ml. HIER: steamed with pH6 citrate buffer, AP-staining.
Availability 1-3 business days
Species Reactivity Human
Format Antigen affinity purified
Clonality Polyclonal (goat origin)
Isotype Goat Ig
Purity Antigen affinity
Gene ID 1327
Applications Western Blot : 0.01-0.03ug/ml
Immunohistochemistry (FFPE) : 2-4ug/ml
ELISA (peptide) LOD : 1:4000
Limitations This COX4I1 antibody is available for research use only.
Review this product on BioCompare and get a $20 Amazon gift card

Related Products

Description

Additional name(s) for this target protein: Cytochrome c oxidase subunit IV isoform 1; COX IV-1

Application Notes

Optimal dilution of the COX4I1 antibody should be determined by the researcher.

1. This COX4I1 antibody will also detect COX4I2.

Immunogen

Amino acids QGLASKWDYEKNE were used as the immunogen for this COX4I1 antibody.

Storage

Aliquot and store the COX4I1 antibody at -20oC.

Cross
Bulk Quote Request Form
Name*:
Organization*:
Email*:
Phone Number*:
Catalog No.*:
Comments and Specifics(amount, formulation, etc.)*:
Validation code: Captchapackage Image


Can't read the image? click here to refresh.
    *required field

Your bulk quote request has been submitted successfully!

Please contact us if you have any questions.