• Tel: 858.663.9055
  • SeparatorEmail: info@nsjbio.com
  • Tel: 858.663.9055
  • Email: info@nsjbio.com
Home >> Antibodies >> COX2 Antibody / MT-CO2

COX2 Antibody / MT-CO2 (RQ7011)

  Catalog No Formulation Size Price (USD)  
Image RQ7011 0.5mg/ml if reconstituted with 0.2ml sterile DI water 100 ug 439
Bulk quote request
Western blot testing of 1) rat liver, 2) rat brain, 3) rat small intestine, 4) rat RH35, 5) mouse liver, 6) mouse brain, 7) mouse small intestine and 8) mouse Neuro-2a cell lysate with COX2 antibody. Predicted molecular weight ~25 kDa.
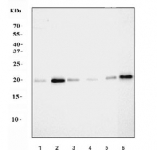
Western blot testing of human 1) K562, 2) MCF7, 3) HeLa, 4) Jurkat, 5) A431 and 6) HaCaT cell lysate with COX2 antibody. Predicted molecular weight ~25 kDa.
IHC staining of FFPE human colorectal cancer tissue with COX2 antibody. HIER: boil tissue sections in pH8 EDTA for 20 min and allow to cool before testing.
IHC staining of FFPE human glioma tissue with COX2 antibody. HIER: boil tissue sections in pH8 EDTA for 20 min and allow to cool before testing.
IHC staining of FFPE mouse brain tissue with COX2 antibody. HIER: boil tissue sections in pH8 EDTA for 20 min and allow to cool before testing.
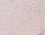
IHC staining of FFPE rat brain tissue with COX2 antibody. HIER: boil tissue sections in pH8 EDTA for 20 min and allow to cool before testing.
Flow cytometry testing of human U-87 MG cells with COX2 antibody at 1ug/million cells (blocked with goat sera); Red=cells alone, Green=isotype control, Blue= COX2 antibody.
Availability 1-3 business days
Species Reactivity Human, Mouse, Rat
Format Antigen affinity purified
Clonality Polyclonal (rabbit origin)
Isotype Rabbit IgG
Purity Antigen affinity purified
Buffer Lyophilized from 1X PBS with 2% Trehalose
UniProt P00403
Localization Cytoplasmic (mitochondria)
Applications Western Blot : 0.5-1 ug/ml
Immunohistochemistry (FFPE) : 2-5ug/ml
Flow Cytometry : 1-3ug/million cells
Direct ELISA : 0.1-0.5ug/ml
Limitations This COX2 antibody is available for research use only.
Review this product on BioCompare and get a $20 Amazon gift card

Related Products

Description

Cytochrome c oxidase is the component of the respiratory chain that catalyzes the reduction of oxygen to water. Subunits 1-3 form the functional core of the enzyme complex. Subunit 2 (called COX2, COII and MT-CO2) transfers the electrons from cytochrome c via its binuclear copper A center to the bimetallic center of the catalytic subunit 1.

Application Notes

Optimal dilution of the COX2 antibody should be determined by the researcher.

Immunogen

Recombinant human protein (amino acids M1-S205) was used as the immunogen for the COX2 antibody.

Storage

After reconstitution, the COX2 antibody can be stored for up to one month at 4oC. For long-term, aliquot and store at -20oC. Avoid repeated freezing and thawing.

Cross
Bulk Quote Request Form
Name*:
Organization*:
Email*:
Phone Number*:
Catalog No.*:
Comments and Specifics(amount, formulation, etc.)*:
Validation code: Captchapackage Image


Can't read the image? click here to refresh.
    *required field

Your bulk quote request has been submitted successfully!

Please contact us if you have any questions.