• Tel: 858.663.9055
  • SeparatorEmail: info@nsjbio.com
  • Tel: 858.663.9055
  • Email: info@nsjbio.com
Home >> Antibodies >> CORO1A Antibody

CORO1A Antibody (R34624)

  Catalog No Formulation Size Price (USD)  
Image R34624-100UG 0.5 mg/ml in 1X TBS, pH7.3, with 0.5% BSA (US sourced) and 0.02% sodium azide 100 ug 449
Bulk quote request
Western blot testing of Jurkat lysate with CORO1A antibody at 0.3ug/ml. Predicted molecular weight: ~51 kDa, observed here at ~60 kDa.
Western blot of HEK293 lysate overexpressing CORO1A probed with CORO1A antibody (mock transfection in lane 1). Predicted molecular weight: ~51 kDa.
Western blot testing of human lymphoblast cell lysate with CORO1A antibody at 0.3ug/ml. Predicted molecular weight: ~51 kDa, observed here at ~60 kDa.
IHC testing of FFPE human small intestine tissue with CORO1A antibody at 3.75ug/ml. HIER: steamed antigen retrieval with pH6 citrate buffer; AP-staining.
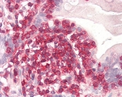
IHC testing of FFPE spleen tissue with CORO1A antibody at 3.75ug/ml. HIER: steamed antigen retrieval with pH6 citrate buffer; AP-staining.
Availability 1-3 business days
Species Reactivity Human
Predicted Reactivity Mouse, Rat, Dog, Cow
Format Antigen affinity purified
Clonality Polyclonal (goat origin)
Isotype Goat Ig
Purity Antigen affinity
Gene ID 11151
Localization Cytoplasmic
Applications Western Blot : 0.3-1ug/ml
IHC (FFPE) : 3-6ug/ml
ELISA (peptide) LOD : 1:16000
Limitations This CORO1A antibody is available for research use only.
Review this product on BioCompare and get a $20 Amazon gift card

Description

Additional name(s) for this target protein: Coronin 1, TACO

Application Notes

Optimal dilution of the CORO1A antibody should be determined by the researcher.

Immunogen

Amino acids KRLDRLEETVQAK were used as the immunogen for this CORO1A antibody.

Storage

Aliquot and store the CORO1A antibody at -20oC.

Cross
Bulk Quote Request Form
Name*:
Organization*:
Email*:
Phone Number*:
Catalog No.*:
Comments and Specifics(amount, formulation, etc.)*:
Validation code: Captchapackage Image


Can't read the image? click here to refresh.
    *required field

Your bulk quote request has been submitted successfully!

Please contact us if you have any questions.