• Tel: 858.663.9055
  • SeparatorEmail: info@nsjbio.com
  • Tel: 858.663.9055
  • Email: info@nsjbio.com
Home >> Antibodies >> CoREST Antibody / REST corepressor 1 / RCOR1

CoREST Antibody / REST corepressor 1 / RCOR1 (RQ7989)

  Catalog No Formulation Size Price (USD)  
Image RQ7989 0.5mg/ml if reconstituted with 0.2ml sterile DI water 100 ug 439
Bulk quote request
Immunofluorescent staining of FFPE human SiHa cells with CoREST antibody (green) and DAPI nuclear stain (blue). HIER: steam section in pH6 citrate buffer for 20 min.
Western blot testing of human 1) Jurkat, 2) HepG2, 3) HL60 and 4) K562 cell lysate with CoREST antibody. Predicted molecular weight ~53 kDa, commonly observed at 53-66 kDa.
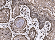
IHC staining of FFPE human esophageal squamous carcinoma tissue with CoREST antibody. HIER: boil tissue sections in pH8 EDTA for 20 min and allow to cool before testing.
Flow cytometry testing of human K562 cells with CoREST antibody at 1ug/million cells (blocked with goat sera); Red=cells alone, Green=isotype control, Blue= CoREST antibody.
Availability 1-3 business days
Species Reactivity Human
Format Antigen affinity purified
Clonality Polyclonal (rabbit origin)
Isotype Rabbit IgG
Purity Antigen affinity purified
Buffer Lyophilized from 1X PBS with 2% Trehalose
UniProt Q9UKL0
Localization Nuclear
Applications Western Blot : 0.5-1ug/ml
Immunohistochemistry (FFPE) : 2-5ug/ml
Immunofluorescence : 5ug/ml
Flow Cytometry : 1-3ug/million cells
Direct ELISA : 0.1-0.5ug/ml
Limitations This CoREST antibody is available for research use only.
Review this product on BioCompare and get a $20 Amazon gift card

Description

REST corepressor 1 also known as CoREST is a protein that in humans is encoded by the RCOR1 gene. This gene encodes a protein that is well-conserved, downregulated at birth, and with a specific role in determining neural cell differentiation. The encoded protein binds to the C-terminal domain of REST (repressor element-1 silencing transcription factor).

Application Notes

Optimal dilution of the CoREST antibody should be determined by the researcher.

Immunogen

E. coli-derived recombinant human protein (amino acids N270-S485) was used as the immunogen for the CoREST antibody.

Storage

After reconstitution, the CoREST antibody can be stored for up to one month at 4oC. For long-term, aliquot and store at -20oC. Avoid repeated freezing and thawing.

Cross
Bulk Quote Request Form
Name*:
Organization*:
Email*:
Phone Number*:
Catalog No.*:
Comments and Specifics(amount, formulation, etc.)*:
Validation code: Captchapackage Image


Can't read the image? click here to refresh.
    *required field

Your bulk quote request has been submitted successfully!

Please contact us if you have any questions.