• Tel: 858.663.9055
  • SeparatorEmail: info@nsjbio.com
  • Tel: 858.663.9055
  • Email: info@nsjbio.com
Home >> Antibodies >> COMT Antibody

COMT Antibody (R35218)

  Catalog No Formulation Size Price (USD)  
Image R35218-100UG 0.5 mg/ml in 1X TBS, pH7.3, with 0.5% BSA (US sourced) and 0.02% sodium azide 100 ug 449
Bulk quote request
Western blot testing of human testis lysate with COMT antibody at 0.3ug/ml. Predicted molecular weight: ~30/25 kDa (isoforms 1/2).
Sandwich ELISA using the COMT antibody at 0.5ug/ml as the detect.
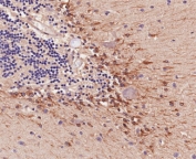
IHC testing of FFPE human cerebellum with COMT antibody at 4ug/ml. HIER: steamed with pH9 Tris/EDTA, HRP-staining.
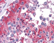
IHC testing of FFPE human testis tissue with COMT antibody at 3.75ug/ml. Required HIER: steamed antigen retrieval with pH6 citrate buffer; AP-staining.
IHC testing of FFPE human small intestine tissue with COMT antibody at 3.75ug/ml. Required HIER: steamed antigen retrieval with pH6 citrate buffer; AP-staining.
Availability 1-3 business days
Species Reactivity Human
Format Antigen affinity purified
Clonality Polyclonal (goat origin)
Isotype Goat Ig
Purity Antigen affinity
Gene ID 1312
Localization Cytoplasmic, membranous
Applications Western Blot : 0.3-1ug/ml
IHC (FFPE) : 2-4ug/ml
Enzyme ImmunoAssay : binds recombinant protein (use at 0.5-2ug/ml)
ELISA (peptide) LOD : 1:64000
Limitations This COMT antibody is available for research use only.
Review this product on BioCompare and get a $20 Amazon gift card

Related Products

  • Applications : WB, IHC-P, IF, FACS
    Reactivity : Human, Mouse, Rat
  • Applications : WB, IHC-P
    Reactivity : Human, Mouse, Rat
  • Applications : WB, ELISA (peptide)
    Reactivity : Human
    Pred. Reactivity : Dog, Mouse, Rat
  • Applications : WB, IHC-P, IHC-F, ICC
    Reactivity : Human, Mouse, Rat
  • Applications : WB, Direct ELISA
    Reactivity : Mouse

Description

Additional name(s) for this target protein: Catechol-O-methyltransferase

Application Notes

Optimal dilution of the COMT antibody should be determined by the researcher.

Immunogen

Amino acids QDIIPQLKKKYDVD were used as the immunogen for this COMT antibody.

Storage

Aliquot and store the COMT antibody at -20oC.

Cross
Bulk Quote Request Form
Name*:
Organization*:
Email*:
Phone Number*:
Catalog No.*:
Comments and Specifics(amount, formulation, etc.)*:
Validation code: Captchapackage Image


Can't read the image? click here to refresh.
    *required field

Your bulk quote request has been submitted successfully!

Please contact us if you have any questions.