• Tel: 858.663.9055
  • SeparatorEmail: info@nsjbio.com
  • Tel: 858.663.9055
  • Email: info@nsjbio.com
Home >> Antibodies >> COMT Antibody

COMT Antibody (R32010)

  Catalog No Formulation Size Price (USD)  
Image R32010 0.5mg/ml if reconstituted with 0.2ml sterile DI water 100 ug 439
Bulk quote request
Western blot testing of 1) rat brain, 2) rat liver, 3) rat kidney, 4) mouse brain, 5) Jurkat, 6) CEM and 7) HeLa lysate with COMT antibody. Predicted molecular weight: ~30/25 kDa (isoforms 1/2).
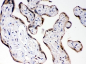
IHC testing of FFPE human placenta with COMT antibody. HIER: Boil the paraffin sections in pH 6, 10mM citrate buffer for 20 minutes and allow to cool prior to staining.
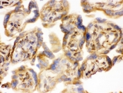
IHC testing of FFPE mouse lung with COMT antibody. HIER: Boil the paraffin sections in pH 6, 10mM citrate buffer for 20 minutes and allow to cool prior to staining.
IHC testing of FFPE rat lung with COMT antibody. HIER: Boil the paraffin sections in pH 6, 10mM citrate buffer for 20 minutes and allow to cool prior to staining.
ICC testing of human A549 cells with COMT antibody.
IHC testing of frozen human placental tissue with COMT antibody.
IHC testing of frozen mouse lung tissue with COMT antibody.
IHC testing of frozen rat lung tissue with COMT antibody.
Availability 1-3 business days
Species Reactivity Human, Mouse, Rat
Format Antigen affinity purified
Clonality Polyclonal (rabbit origin)
Isotype Rabbit IgG
Purity Antigen affinity
Buffer Lyophilized from 1X PBS with 2.5% BSA, 0.025% sodium azide
UniProt P21964
Localization Cytoplasmic
Applications Western Blot : 0.1-0.5ug/ml
Immunocytochemistry : 0.5-1ug/ml
IHC (FFPE) : 0.5-1ug/ml
IHC (Frozen) : 0.5-1ug/ml
Limitations This COMT antibody is available for research use only.
Review this product on BioCompare and get a $20 Amazon gift card

Related Products

  • Applications : WB, IHC-P, IF, FACS
    Reactivity : Human, Mouse, Rat
  • Applications : WB, IHC-P
    Reactivity : Human, Mouse, Rat
  • Applications : WB, ELISA (peptide)
    Reactivity : Human
    Pred. Reactivity : Dog, Mouse, Rat
  • Applications : WB, IHC-P, ELISA (peptide), EIA
    Reactivity : Human
  • Applications : WB, Direct ELISA
    Reactivity : Mouse

Description

Catechol O-methyltransferase, also called COMT, is one of the major mammalian enzymes involved in the metabolic degradation of catecholamines. Catalyzes the O-methylation, and thereby the inactivation, of catecholamine neurotransmitters and catechol hormones. Also shortens the biological half-lives of certain neuroactive drugs, like L-DOPA, alpha-methyl DOPA and isoproterenol. [UniProt]

Application Notes

Optimal dilution of the COMT antibody should be determined by the researcher.

Immunogen

Amino acids 52-271 of human COMT were used as the immunogen for the COMT antibody.

Storage

After reconstitution, the COMT antibody can be stored for up to one month at 4oC. For long-term, aliquot and store at -20oC. Avoid repeated freezing and thawing.

Cross
Bulk Quote Request Form
Name*:
Organization*:
Email*:
Phone Number*:
Catalog No.*:
Comments and Specifics(amount, formulation, etc.)*:
Validation code: Captchapackage Image


Can't read the image? click here to refresh.
    *required field

Your bulk quote request has been submitted successfully!

Please contact us if you have any questions.