• Tel: 858.663.9055
  • SeparatorEmail: info@nsjbio.com
  • Tel: 858.663.9055
  • Email: info@nsjbio.com
Home >> Antibodies >> COMT Antibody

COMT Antibody (R31326)

  Catalog No Formulation Size Price (USD)  
Image R31326 0.5mg/ml if reconstituted with 0.2ml sterile DI water 100 ug 439
Bulk quote request
Western blot testing of human 1) HeLa, 2) A375 and 3) PANC cell lysate with COMT antibody. Predicted molecular weight: ~30/25kDa (isoforms 1/2).
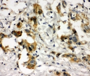
IHC-P: COMT antibody testing of human lung cancer tissue. HIER: boil tissue sections in pH8 EDTA for 20 min and allow to cool before testing.
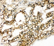
IHC-P: COMT antibody testing of human kidney cancer tissue. HIER: boil tissue sections in pH8 EDTA for 20 min and allow to cool before testing.
Western blot testing of 1) human placenta, 2) human K562, 3) human SH-SY5Y, 4) rat brain, 5) rat liver, 6) mouse brain and 7) mouse liver lysate with COMT antibody. Predicted molecular weight: ~30/25 kDa (isoforms 1/2).
Availability 1-3 business days
Species Reactivity Human, Mouse, Rat
Format Antigen affinity purified
Clonality Polyclonal (rabbit origin)
Isotype Rabbit IgG
Purity Antigen affinity
Buffer Lyophilized from 1X PBS with 2.5% BSA and 0.025% sodium azide/thimerosal
UniProt P21964
Applications Western Blot : 0.5-1ug/ml
IHC (FFPE) : 0.5-1ug/ml
Limitations This COMT antibody is available for research use only.
Review this product on BioCompare and get a $20 Amazon gift card

Related Products

  • Applications : WB, IHC-P, IF, FACS
    Reactivity : Human, Mouse, Rat
  • Applications : WB, ELISA (peptide)
    Reactivity : Human
    Pred. Reactivity : Dog, Mouse, Rat
  • Applications : WB, IHC-P, ELISA (peptide), EIA
    Reactivity : Human
  • Applications : WB, IHC-P, IHC-F, ICC
    Reactivity : Human, Mouse, Rat
  • Applications : WB, Direct ELISA
    Reactivity : Mouse

Description

Catechol O-methyltransferase, also called COMT, is one of the major mammalian enzymes involved in the metabolic degradation of catecholamines. This gene is mapped to 22q11.21. Catechol-O-methyltransferase catalyzes the transfer of a methyl group from S-adenosylmethionine to catecholamines, including the neurotransmitters dopamine, epinephrine, and norepinephrine. This O-methylation results in one of the major degradative pathways of the catecholamine transmitters. In addition to its role in the metabolism of endogenous substances, COMT is important in the metabolism of catechol drugs used in the treatment of hypertension, asthma, and Parkinson disease. It is found in two forms in tissues, a soluble form (S-COMT) and a membrane-bound form (MB-COMT). The differences between the two forms reside within the N-termini.

Application Notes

The stated application concentrations are suggested starting amounts. Titration of the COMT antibody may be required due to differences in protocols and secondary/substrate sensitivity.

Immunogen

An amino acid sequence from the N-terminus of human Catechol O-methyltransferase (DKKGKIVDAVIQEHQ) was used as the immunogen for this COMT antibody.

Storage

After reconstitution, the COMT antibody can be stored for up to one month at 4oC. For long-term, aliquot and store at -20oC. Avoid repeated freezing and thawing.

Cross
Bulk Quote Request Form
Name*:
Organization*:
Email*:
Phone Number*:
Catalog No.*:
Comments and Specifics(amount, formulation, etc.)*:
Validation code: Captchapackage Image


Can't read the image? click here to refresh.
    *required field

Your bulk quote request has been submitted successfully!

Please contact us if you have any questions.