• Tel: 858.663.9055
  • SeparatorEmail: info@nsjbio.com
  • Tel: 858.663.9055
  • Email: info@nsjbio.com
Home >> Antibodies >> COMT Antibody

COMT Antibody [clone 15C10] (RQ5527)

  Catalog No Formulation Size Price (USD)  
Image RQ5527 0.5mg/ml if reconstituted with 0.2ml sterile DI water 100 ug 439
Bulk quote request
Immunofluorescent staining of FFPE human A431 cells with COMT antibody (green) and DAPI (blue). HIER: boil tissue sections in pH6, 10mM citrate buffer, for 20 min and allow to cool before testing.
Flow cytometry testing of human K562 cells with COMT antibody at 1ug/million cells (blocked with goat sera); Red=cells alone, Green=isotype control, Blue= COMT antibody.
Flow cytometry testing of human U-87 MG cells with COMT antibody at 1ug/million cells (blocked with goat sera); Red=cells alone, Green=isotype control, Blue= COMT antibody.
Western blot testing of human 1) HepG2, 2) K562, 3) ThP-1, 4) HEK293, 5) A549, 6) Caco-2, 7) rat RH35 and 8) mouse Neuro-2a lysate with COMT antibody. Predicted molecular weight: ~30/25 kDa (isoforms 1/2).
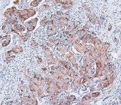
IHC staining of FFPE human breast cancer with COMT antibody. HIER: boil tissue sections in pH6, 10mM citrate buffer, for 20 min and allow to cool before testing.
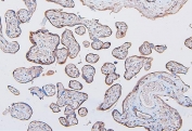
IHC staining of FFPE human placenta with COMT antibody. HIER: boil tissue sections in pH6, 10mM citrate buffer, for 20 min and allow to cool before testing.
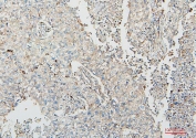
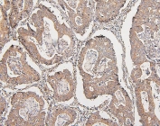
IHC staining of FFPE human intestinal cancer with COMT antibody. HIER: boil tissue sections in pH6, 10mM citrate buffer, for 20 min and allow to cool before testing.
IHC staining of FFPE human lung cancer with COMT antibody. HIER: boil tissue sections in pH6, 10mM citrate buffer, for 20 min and allow to cool before testing.
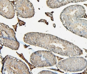
IHC staining of FFPE mouse testis with COMT antibody. HIER: boil tissue sections in pH6, 10mM citrate buffer, for 20 min and allow to cool before testing.
IHC staining of FFPE rat testis with COMT antibody. HIER: boil tissue sections in pH6, 10mM citrate buffer, for 20 min and allow to cool before testing.
Immunofluorescent staining of FFPE human MCF7 cells with COMT antibody (green) and DAPI (blue). HIER: boil tissue sections in pH6, 10mM citrate buffer, for 20 min and allow to cool before testing.
Availability 1-3 business days
Species Reactivity Human, Mouse, Rat
Format Antigen affinity purified
Clonality Monoclonal (mouse origin)
Isotype Mouse IgG2b
Clone Name 15C10
Purity Affinity purified
Buffer Lyophilized from 1X PBS with 2% Trehalose and 0.025% sodium azide
UniProt P21964
Localization Cytoplasmic
Applications Western Blot : 0.5-1ug/ml
Immunohistochemistry (FFPE) : 1-2ug/ml
Flow Cytometry : 1-3ug/million cells
Immunofluorescence : 2-4ug/ml
Limitations This COMT antibody is available for research use only.
Review this product on BioCompare and get a $20 Amazon gift card

Related Products

  • Applications : WB, IHC-P
    Reactivity : Human, Mouse, Rat
  • Applications : WB, ELISA (peptide)
    Reactivity : Human
    Pred. Reactivity : Dog, Mouse, Rat
  • Applications : WB, IHC-P, ELISA (peptide), EIA
    Reactivity : Human
  • Applications : WB, IHC-P, IHC-F, ICC
    Reactivity : Human, Mouse, Rat
  • Applications : WB, Direct ELISA
    Reactivity : Mouse

Description

Catechol O-methyltransferase, also called COMT, is one of the major mammalian enzymes involved in the metabolic degradation of catecholamines. This gene is mapped to 22q11.21. Catechol-O-methyltransferase catalyzes the transfer of a methyl group from S-adenosylmethionine to catecholamines, including the neurotransmitters dopamine, epinephrine, and norepinephrine. This O-methylation results in one of the major degradative pathways of the catecholamine transmitters. In addition to its role in the metabolism of endogenous substances, COMT is important in the metabolism of catechol drugs used in the treatment of hypertension, asthma, and Parkinson disease. COMT is found in two forms in tissues, a soluble form (S-COMT) and a membrane-bound form (MB-COMT). The differences between S-COMT and MB-COMT reside within the N-termini.

Application Notes

Optimal dilution of the COMT antibody should be determined by the researcher.

Immunogen

A human recombinant protein (amino acids G52-P271) was used as the immunogen for the COMT antibody.

Storage

After reconstitution, the COMT antibody can be stored for up to one month at 4oC. For long-term, aliquot and store at -20oC. Avoid repeated freezing and thawing.

Cross
Bulk Quote Request Form
Name*:
Organization*:
Email*:
Phone Number*:
Catalog No.*:
Comments and Specifics(amount, formulation, etc.)*:
Validation code: Captchapackage Image


Can't read the image? click here to refresh.
    *required field

Your bulk quote request has been submitted successfully!

Please contact us if you have any questions.