• Tel: 858.663.9055
  • SeparatorEmail: info@nsjbio.com
  • Tel: 858.663.9055
  • Email: info@nsjbio.com
Home >> Antibodies >> Complement Factor D Antibody / CFD

Complement Factor D Antibody / CFD (F54234)

  Catalog No Formulation Size Price (USD)  
Image F54234-0.4ML In 1X PBS, pH 7.4, with 0.09% sodium azide 0.4 ml 429
Image
F54234-0.08ML In 1X PBS, pH 7.4, with 0.09% sodium azide 0.08 ml 199
Bulk quote request
Western blot testing of multiple lots of human plasma lysate with Complement Factor D antibody. Predicted molecular weight: ~27 kDa.
Western blot testing of human A549 cell lysate with Complement Factor D antibody. Predicted molecular weight: ~27 kDa.
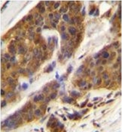
IHC testing of FFPE human bladder carcinoma with Complement Factor D antibody. HIER: steam section in pH6 citrate buffer for 20 min and allow to cool prior to staining.
Availability 1-3 business days
Species Reactivity Human
Format Purified
Clonality Polyclonal (rabbit origin)
Isotype Rabbit Ig
Purity Antigen affinity purified
UniProt P00746
Gene ID 1675
Applications Western Blot : 1:1000-1:2000
Immunohistochemistry : 1:50-1:100
Limitations This Complement Factor D antibody is available for research use only.
Review this product on BioCompare and get a $20 Amazon gift card

Related Products

Description

The protein encoded by this gene is a member of the trypsin family of peptidases. The encoded protein is a component of the alternative complement pathway best known for its role in humoral suppression of infectious agents. This protein is also a serine protease that is secreted by adipocytes into the bloodstream. Finally, the encoded protein has a high level of expression in fat, suggesting a role for adipose tissue in immune system biology.

Application Notes

The stated application concentrations are suggested starting points. Titration of the Complement Factor D antibody may be required due to differences in protocols and secondary/substrate sensitivity.

Immunogen

A portion of amino acids 68-99 from the human protein were used as the immunogen for the Complement Factor D antibody.

Storage

Aliquot the Complement Factor D antibody and store frozen at -20oC or colder. Avoid repeated freeze-thaw cycles.

Cross
Bulk Quote Request Form
Name*:
Organization*:
Email*:
Phone Number*:
Catalog No.*:
Comments and Specifics(amount, formulation, etc.)*:
Validation code: Captchapackage Image


Can't read the image? click here to refresh.
    *required field

Your bulk quote request has been submitted successfully!

Please contact us if you have any questions.