• Tel: 858.663.9055
  • SeparatorEmail: info@nsjbio.com
  • Tel: 858.663.9055
  • Email: info@nsjbio.com
Home >> Antibodies >> COL6A1 Antibody / Collagen VI

COL6A1 Antibody / Collagen VI (F54423)

  Catalog No Formulation Size Price (USD)  
Image F54423-0.4ML In 1X PBS, pH 7.4, with 0.09% sodium azide 0.4 ml 429
Image
F54423-0.08ML In 1X PBS, pH 7.4, with 0.09% sodium azide 0.08 ml 199
Bulk quote request
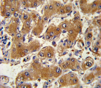
IHC testing of FFPE human hepatocarcinoma tissue with COL6A1 antibody. HIER: steam section in pH6 citrate buffer for 20 min and allow to cool prior to staining.
Immunofluorescent staining of human A2058 cells with COL6A1 antibody (green) and DAPI nuclear stain (blue).
Western blot testing of human A431 cell lysate with COL6A1 antibody. Predicted molecular weight ~109 kDa, routinely observed at 140-150 kDa.
Flow cytometry testing of human HEK293 cells with COL6A1 antibody; Blue=isotype control, Green= COL6A1 antibody.
Availability 1-3 business days
Species Reactivity Human
Format Purified
Clonality Polyclonal (rabbit origin)
Isotype Rabbit Ig
Purity SAS precipitation
UniProt P12109
Applications Western Blot : 1:500-1:2000
Immunofluorescence : 1:25
Flow Cytometry : 1:25 (1x10e6 cells)
Immunohistochemistry (FFPE) : 1:25
Limitations This COL6A1 antibody is available for research use only.
Review this product on BioCompare and get a $20 Amazon gift card

Related Products

Description

The collagens are a superfamily of proteins that play a role in maintaining the integrity of various tissues. Collagens are extracellular matrix proteins and have a triple-helical domain as their common structural element. Collagen VI is a major structural component of microfibrils. The basic structural unit of collagen VI is a heterotrimer of the alpha1(VI), alpha2(VI), and alpha3(VI) chains. The protein COL6A1 is the alpha 1 subunit of type VI collagen (alpha1(VI) chain). Mutations in the genes that code for the collagen VI subunits result in the autosomal dominant disorder, Bethlem myopathy.

Application Notes

The stated application concentrations are suggested starting points. Titration of the COL6A1 antibody may be required due to differences in protocols and secondary/substrate sensitivity.

Immunogen

A portion of amino acids 831-858 from the human protein was used as the immunogen for the COL6A1 antibody.

Storage

Aliquot the COL6A1 antibody and store frozen at -20oC or colder. Avoid repeated freeze-thaw cycles.

Cross
Bulk Quote Request Form
Name*:
Organization*:
Email*:
Phone Number*:
Catalog No.*:
Comments and Specifics(amount, formulation, etc.)*:
Validation code: Captchapackage Image


Can't read the image? click here to refresh.
    *required field

Your bulk quote request has been submitted successfully!

Please contact us if you have any questions.