• Tel: 858.663.9055
  • SeparatorEmail: info@nsjbio.com
  • Tel: 858.663.9055
  • Email: info@nsjbio.com
Home >> Antibodies >> COG7 Antibody

COG7 Antibody (R34676)

  Catalog No Formulation Size Price (USD)  
Image R34676-100UG 0.5 mg/ml in 1X TBS, pH7.3, with 0.5% BSA (US sourced) and 0.02% sodium azide 100 ug 449
Bulk quote request
Western blot testing of MOLT4 lysate with COG7 antibody at 0.03ug/ml. Predicted molecular weight: ~86 kDa.
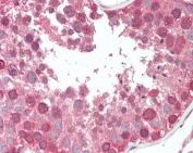
IHC testing of FFPE human testis tissue with COG7 antibody at 5ug/ml. Required HIER: steamed antigen retrieval with pH6 citrate buffer; AP-staining.
Availability 1-3 business days
Species Reactivity Human
Predicted Reactivity Dog
Format Antigen affinity purified
Clonality Polyclonal (goat origin)
Isotype Goat Ig
Purity Antigen affinity
Gene ID 91949
Localization Cytoplasmic
Applications Western Blot : 0.03-0.1ug/ml
IHC (FFPE) 5ug/ml :
ELISA (peptide) LOD : 1:32000
Limitations This COG7 antibody is available for research use only.
Review this product on BioCompare and get a $20 Amazon gift card

Description

Additional name(s) for this target protein: Component of oligomeric golgi complex 7

Application Notes

Optimal dilution of the COG7 antibody should be determined by the researcher.

Immunogen

Amino acids KTRPEDYRQVSK were used as the immunogen for this COG7 antibody.

Storage

Aliquot and store the COG7 antibody at -20oC.

Cross
Bulk Quote Request Form
Name*:
Organization*:
Email*:
Phone Number*:
Catalog No.*:
Comments and Specifics(amount, formulation, etc.)*:
Validation code: Captchapackage Image


Can't read the image? click here to refresh.
    *required field

Your bulk quote request has been submitted successfully!

Please contact us if you have any questions.