• Tel: 858.663.9055
  • SeparatorEmail: info@nsjbio.com
  • Tel: 858.663.9055
  • Email: info@nsjbio.com
Home >> Antibodies >> Cofilin Antibody

Cofilin Antibody (R32024)

  Catalog No Formulation Size Price (USD)  
Image R32024 0.5mg/ml if reconstituted with 0.2ml sterile DI water 100 ug 439
Bulk quote request
Immunofluorescent staining of FFPE human MCF7 cells with Cofilin antibody (green) and DAPI nuclear stain (blue). HIER: steam section in pH6 citrate buffer for 20 min.
IHC testing of FFPE human intestinal cancer tissue with Cofilin antibody. HIER: Boil the paraffin sections in pH 6, 10mM citrate buffer for 20 minutes and allow to cool prior to staining.
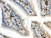
IHC testing of FFPE mouse intestine with Cofilin antibody. HIER: Boil the paraffin sections in pH 6, 10mM citrate buffer for 20 minutes and allow to cool prior to staining.
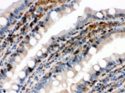
IHC testing of FFPE rat intestine with Cofilin antibody. HIER: Boil the paraffin sections in pH 6, 10mM citrate buffer for 20 minutes and allow to cool prior to staining.
Western blot testing of 1) rat testis, 2) rat lung, 3) rat ovary, 4) mouse liver, 5) mouse brain, 6) mouse lung, and human 7) HeLa, 8) Jurkat, 9) A549, 10) SMMC lysate with Cofilin antibody. Expected/observed molecular weight ~19 kDa.
Availability 1-3 business days
Species Reactivity Human, Mouse, Rat
Format Antigen affinity purified
Clonality Polyclonal (rabbit origin)
Isotype Rabbit IgG
Purity Antigen affinity
Buffer Lyophilized from 1X PBS with 2.5% BSA and 0.025% sodium azide
UniProt P23528
Localization Cytoplasmic, membrane
Applications Western Blot : 0.1-0.5ug/ml
Immunohistochemistry (FFPE) : 0.5-1ug/ml
Immunofluorescence : 5ug/ml
Limitations This Cofilin antibody is available for research use only.
Review this product on BioCompare and get a $20 Amazon gift card

Related Products

  • Applications : WB, IHC-P, ICC/IF, FACS
    Reactivity : Human, Mouse, Rat
  • Applications : IHC-P
    Reactivity : Human
  • Applications : WB, IHC-P, IF/ICC, ELISA (protein)
    Reactivity : Human, Mouse, Rat
  • Applications : WB, IHC-P, ELISA (peptide)
    Reactivity : Human, Rat
    Pred. Reactivity : Dog, Mouse, Pig
  • Applications : WB, IF, FACS
    Reactivity : Human, Mouse, Rat
  • Applications : FACS, WB
    Reactivity : Human, Mouse

Description

Cofilin, a member of the ADF/cofilin family, is actually a protein with 70% sequence homology to ADF, making it part of the ADF/cofilin family of small ADP-binding proteins. It is a ubiquitous actin-binding factor required for the reorganization of actin filaments.

Application Notes

Optimal dilution of the Cofilin antibody should be determined by the researcher.

Immunogen

Amino acids DAIKKKLTGIKHELQANCYEEVKDRCTLAEK of human Cofilin were used as the immunogen for the Cofilin antibody.

Storage

After reconstitution, the Cofilin antibody can be stored for up to one month at 4oC. For long-term, aliquot and store at -20oC. Avoid repeated freezing and thawing.

Cross
Bulk Quote Request Form
Name*:
Organization*:
Email*:
Phone Number*:
Catalog No.*:
Comments and Specifics(amount, formulation, etc.)*:
Validation code: Captchapackage Image


Can't read the image? click here to refresh.
    *required field

Your bulk quote request has been submitted successfully!

Please contact us if you have any questions.