• Tel: 858.663.9055
  • SeparatorEmail: info@nsjbio.com
  • Tel: 858.663.9055
  • Email: info@nsjbio.com
Home >> Antibodies >> Cofilin Antibody

Cofilin Antibody (R31465)

  Catalog No Formulation Size Price (USD)  
Image R31465 0.5mg/ml if reconstituted with 0.2ml sterile DI water 100 ug 439
Bulk quote request
Western blot testing of 1) human HeLa, 2) monkey COS-7, human 3) HEK293, 4) U-87 MG, 5) HepG2, 6) PC-3, 7) ThP-1 and 8) A549 cell lysate with Cofillin antibody. Predicted molecular weight ~19 kDa.
Western blot testing 1) rat heart, 2) rat spleen, 3) rat lung, 4) rat C6, 5) mouse spleen and 6) mouse HEPA1-6 lysate with Cofillin antibody. Predicted molecular weight ~19 kDa.
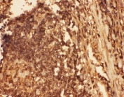
IHC-P: Cofilin antibody testing of human breast cancer tissue. HIER: steam section in pH6 citrate buffer for 20 min.
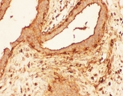
IHC-P: Cofilin antibody testing of human intestine cancer tissue. HIER: steam section in pH6 citrate buffer for 20 min.
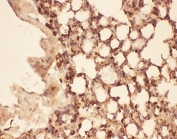
IHC-P testing of mouse lung tissue. HIER: steam section in pH6 citrate buffer for 20 min.
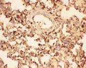
IHC-P testing of rat lung tissue. HIER: steam section in pH6 citrate buffer for 20 min.
IF/ICC staining of FFPE human U-2 OS cells with Cofilin antibody (green) at 2ug/ml. HIER: steam section in pH6 citrate buffer for 20 min.
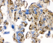
IHC staining of frozen human placenta with Cofillin antibody.
Flow cytometry testing of human U-2 OS cells with Cofilin antibody at 1ug/million cells (blocked with goat sera); Red=cells alone, Green=isotype control, Blue= Cofilin antibody.
Availability 1-3 business days
Species Reactivity Human, Mouse, Rat
Format Antigen affinity purified
Clonality Polyclonal (rabbit origin)
Isotype Rabbit IgG
Purity Antigen affinity
Buffer Lyophilized from 1X PBS with 2.5% BSA and 0.025% sodium azide
Gene ID 1072
Localization Cytoplasmic, membrane
Applications Western Blot : 0.5-1ug/ml
IHC (FFPE) : 0.5-1ug/ml
IF/ICC (FFPE) : 2-4ug/ml
ELISA : 0.1-0.5ug/ml (human protein tested); request BSA free format for coating
Limitations This Cofilin antibody is available for research use only.
Review this product on BioCompare and get a $20 Amazon gift card

Related Products

  • Applications : WB, IHC-P, ICC/IF, FACS
    Reactivity : Human, Mouse, Rat
  • Applications : IHC-P
    Reactivity : Human
  • Applications : WB, IHC-P, ELISA (peptide)
    Reactivity : Human, Rat
    Pred. Reactivity : Dog, Mouse, Pig
  • Applications : WB, IHC-P, IF
    Reactivity : Human, Mouse, Rat
  • Applications : WB, IF, FACS
    Reactivity : Human, Mouse, Rat
  • Applications : FACS, WB
    Reactivity : Human, Mouse

Description

Cofilin is a ubiquitous actin-binding factor required for the reorganization of actin filaments. The protein is known to sever actin filaments by creating more positive ends on filament fragments, it can cause depolymerization at the minus end of filaments, thereby preventing their reassembly. As a long-lasting in vivo effect, Cofilin recycles older ADP-F-actin, helping cell to maintain ATP-G-actin pool for sustained motility. pH, phosphorylation and phosphoinositides regulate cofilins binding and associating activity with actin.

Application Notes

The stated application concentrations are suggested starting amounts. Titration of the Cofilin antibody may be required due to differences in protocols and secondary/substrate sensitivity.

Immunogen

Human partial recombinant protein (AA 2-166) was used as the immunogen for this Cofilin antibody.

Storage

After reconstitution, the Cofilin antibody can be stored for up to one month at 4oC. For long-term, aliquot and store at -20oC. Avoid repeated freezing and thawing.

Cross
Bulk Quote Request Form
Name*:
Organization*:
Email*:
Phone Number*:
Catalog No.*:
Comments and Specifics(amount, formulation, etc.)*:
Validation code: Captchapackage Image


Can't read the image? click here to refresh.
    *required field

Your bulk quote request has been submitted successfully!

Please contact us if you have any questions.