• Tel: 858.663.9055
  • SeparatorEmail: info@nsjbio.com
  • Tel: 858.663.9055
  • Email: info@nsjbio.com
Home >> Antibodies >> Coagulation Factor VII Antibody / F7

Coagulation Factor VII Antibody / F7 [clone F7/3512] (V4329)

  Catalog No Formulation Size Price (USD)  
Image V4329-100UG 0.2 mg/ml in 1X PBS with 0.1 mg/ml BSA (US sourced), 0.05% sodium azide 100 ug 539
Image
V4329-20UG 0.2 mg/ml in 1X PBS with 0.1 mg/ml BSA (US sourced), 0.05% sodium azide 20 ug 249
Image
V4329SAF-100UG 1 mg/ml in 1X PBS; BSA free, sodium azide free 100 ug 539
Microvalidated
Bulk quote request
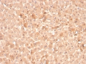
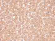
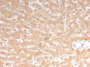
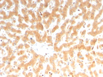
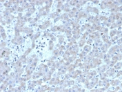
IHC staining of FFPE human liver tissue with Coagulation Factor VII antibody (clone F7/3512). HIER: boil tissue sections in pH 9 10mM Tris with 1mM EDTA for 20 min and allow to cool before testing.
SDS-PAGE analysis of purified, BSA-free Coagulation Factor VII antibody (clone F7/3512) as confirmation of integrity and purity.
Analysis of a HuProt(TM) microarray containing more than 19,000 full-length human proteins using Coagulation Factor VII antibody (clone F7/3512). Z- and S- Score: The Z-score represents the strength of a signal that a monoclonal antibody (in combination with a fluorescently-tagged anti-IgG secondary antibody) produces when binding to a particular protein on the HuProt(TM) array. Z-scores are described in units of standard deviations (SD's) above the mean value of all signals generated on that array. If targets on HuProt(TM) are arranged in descending order of the Z-score, the S-score is the difference (also in units of SD's) between the Z-score. S-score therefore represents the relative target specificity of a mAb to its intended target. A mAb is considered to specific to its intended target, if the mAb has an S-score of at least 2.5. For example, if a mAb binds to protein X with a Z-score of 43 and to protein Y with a Z-score of 14, then the S-score for the binding of that mAb to protein X is equal to 29.
Availability 1-3 business days
Species Reactivity Human
Format Purified
Clonality Monoclonal (mouse origin)
Isotype Mouse IgG2, kappa
Clone Name F7/3512
Purity Protein A/G affinity
UniProt P08709
Localization Secreted, Cytoplasm
Applications ELISA (Order BSA-free Format For Coating) :
Immunohistochemistry (FFPE) : 1-2ug/ml for 30 minutes at RT
Limitations This Coagulation Factor VII antibody is available for research use only.
Review this product on BioCompare and get a $20 Amazon gift card

Related Products

Description

Hemostasis following tissue injury involves the deployment of essential plasma procoagulants (prothrombin and Factors X, IX, V and VIII), which are involved in a blood coagulation cascade that leads to the formation of insoluble Fibrin clots and the promotion of platelet aggregation. Coagulation Factor VII (serum prothrombin conversion accelerator, proconvertin, F7, Factor VII) is a 406 amino acid, vitamin K-dependent, single chain serine protease that is synthesized in the liver and circulates as an inactive precursor. Factor IX A, Factor X A, Factor XII A or Thrombin-mediated proteolytic cleavage of Factor VII at Arg 152-Ile 153 generates Factor VII A, an active serine protease composed of a catalytic heavy chain disulfide linked to a light chain, containing two EGF-like domains. Mutations at the F7 locus that lead to Factor VII deficiencies are generally asymptomatic or phenotypically uncharacterized, with hemorrhagic diathesis occurring at extremely low levels.

Application Notes

Optimal dilution of the Coagulation Factor VII antibody should be determined by the researcher.

Immunogen

A recombinant partial protein sequence (within amino acids 366-466) from the human protein was used as the immunogen for the Coagulation Factor VII antibody.

Storage

Aliquot the Coagulation Factor VII antibody and store frozen at -20oC or colder. Avoid repeated freeze-thaw cycles.

Cross
Bulk Quote Request Form
Name*:
Organization*:
Email*:
Phone Number*:
Catalog No.*:
Comments and Specifics(amount, formulation, etc.)*:
Validation code: Captchapackage Image


Can't read the image? click here to refresh.
    *required field

Your bulk quote request has been submitted successfully!

Please contact us if you have any questions.