• Tel: 858.663.9055
  • SeparatorEmail: info@nsjbio.com
  • Tel: 858.663.9055
  • Email: info@nsjbio.com
Home >> Antibodies >> CNTF Antibody

CNTF Antibody (R31445)

  Catalog No Formulation Size Price (USD)  
Image R31445 0.5mg/ml if reconstituted with 0.2ml sterile DI water 100 ug 439
Bulk quote request
Western blot testing of CNTF antibody and recombinant human protein (0.5ng)
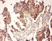
IHC-P: CNTF antibody testing of human intestine cancer tissue. HIER: steamed with pH6 citrate buffer.
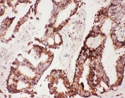
IHC-P: CNTF antibody testing of human lung cancer tissue. HIER: steamed with pH6 citrate buffer.
Availability 1-3 business days
Species Reactivity Human
Format Antigen affinity purified
Clonality Polyclonal (rabbit origin)
Isotype Rabbit IgG
Purity Antigen affinity
Buffer Lyophilized from 1X PBS with 2.5% BSA and 0.025% sodium azide
Gene ID 1270
Applications Western Blot : 0.5-1ug/ml
IHC (FFPE) : 0.5-1ug/ml
Limitations This CNTF antibody is available for research use only.
Review this product on BioCompare and get a $20 Amazon gift card

Related Products

Description

Ciliary neurotrophic factor is a potent polypeptide hormone whose actions appear to be restricted to the nervous system where it promotes survival, neurotransmitter synthesis and neurite outgrowth in certain neuronal populations. The gene is located on chromosome 11, as determined using human-hamster somatic cell hybrids. The protein is highly conserved in evolution. The amino acid (aa) sequences of rat and rabbit CNTF translated from cDNAs display ~85% homology with the deduced aa sequence encoding human CNTF. CNTF induces weight loss and improves glucose tolerance in humans and rodents. It is thought to act centrally by inducing hypothalamic neurogenesis to modulate food intake and peripherally by altering hepatic gene expression, in a manner similar to that of leptin.

Application Notes

The stated application concentrations are suggested starting amounts. Titration of the CNTF antibody may be required due to differences in protocols and secondary/substrate sensitivity.

Immunogen

Human partial recombinant protein (AA 2-200) was used as the immunogen for this CNTF antibody.

Storage

After reconstitution, the CNTF antibody can be stored for up to one month at 4oC. For long-term, aliquot and store at -20oC. Avoid repeated freezing and thawing.

Cross
Bulk Quote Request Form
Name*:
Organization*:
Email*:
Phone Number*:
Catalog No.*:
Comments and Specifics(amount, formulation, etc.)*:
Validation code: Captchapackage Image


Can't read the image? click here to refresh.
    *required field

Your bulk quote request has been submitted successfully!

Please contact us if you have any questions.