• Tel: 858.663.9055
  • SeparatorEmail: info@nsjbio.com
  • Tel: 858.663.9055
  • Email: info@nsjbio.com
Home >> Antibodies >> CNOT8 Antibody / CCR4-NOT transcription complex subunit 8

CNOT8 Antibody / CCR4-NOT transcription complex subunit 8 (F54856)

  Catalog No Formulation Size Price (USD)  
Image F54856-0.4ML In 1X PBS, pH 7.4, with 0.09% sodium azide 0.4 ml 429
Image
F54856-0.08ML In 1X PBS, pH 7.4, with 0.09% sodium azide 0.08 ml 199
Bulk quote request
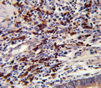
IHC testing of FFPE human colon carcinoma tissue with CNOT8 antibody. HIER: steam section in pH6 citrate buffer for 20 min and allow to cool prior to staining.
Western blot testing of human U-251 cell lysate with CNOT8 antibody. Predicted molecular weight ~33 kDa.
Immunofluorescent staining of fixed and permeabilized human HeLa cells with CNOT8 antibody (green), DAPI nuclear stain (blue) and anti-Actin (red).
Flow cytometry testing of human CCRF-CEM cells with CNOT8 antibody; Blue=isotype control, Green= CNOT8 antibody.
Availability 1-3 business days
Species Reactivity Human
Format Purified
Clonality Polyclonal (rabbit origin)
Isotype Rabbit Ig
Purity Antigen affinity purified
UniProt Q9UFF9
Localization Cytoplasmic, nuclear
Applications Western Blot : 1:500-1:1000
Immunofluorescence : 1:10-1:50
Immunohistochemistry (FFPE) : 1:10-1:50
Flow Cytometry : 1:10-1:50 (1x10e6 cells)
Limitations This CNOT8 antibody is available for research use only.
Review this product on BioCompare and get a $20 Amazon gift card

Description

Ubiquitous transcription factor required for a diverse set of processes. The CCR4-NOT complex functions as general transcription regulation complex.

Application Notes

The stated application concentrations are suggested starting points. Titration of the CNOT8 antibody may be required due to differences in protocols and secondary/substrate sensitivity.

Immunogen

A portion of amino acids 227-255 from the human protein was used as the immunogen for the CNOT8 antibody.

Storage

Aliquot the CNOT8 antibody and store frozen at -20oC or colder. Avoid repeated freeze-thaw cycles.

Cross
Bulk Quote Request Form
Name*:
Organization*:
Email*:
Phone Number*:
Catalog No.*:
Comments and Specifics(amount, formulation, etc.)*:
Validation code: Captchapackage Image


Can't read the image? click here to refresh.
    *required field

Your bulk quote request has been submitted successfully!

Please contact us if you have any questions.