• Tel: 858.663.9055
  • SeparatorEmail: info@nsjbio.com
  • Tel: 858.663.9055
  • Email: info@nsjbio.com
Home >> Antibodies >> CNGB3 Antibody

CNGB3 Antibody (R36477)

  Catalog No Formulation Size Price (USD)  
Image R36477-100UG 0.5 mg/ml in 1X TBS, pH7.3, with 0.5% BSA (US sourced) and 0.02% sodium azide 100 ug 449
Bulk quote request
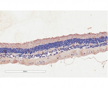
IHC testing of FFPE human retinal with CNGB3 antibody at 2ug/ml. Staining of the pigmented epithelial cells is seen.
IHC testing of FFPE human retinal without CNGB3 antibody (negative control).
Availability 1-3 business days
Species Reactivity Human
Format Antigen affinity purified
Clonality Polyclonal (goat origin)
Isotype Goat Ig
Purity Antigen affinity
UniProt Q9NQW8
Applications IHC (FFPE) : 2-4ug/ml
ELISA (peptide) LOD : 1:8000
Limitations This CNGB3 antibody is available for research use only.
Review this product on BioCompare and get a $20 Amazon gift card

Description

Visual signal transduction is mediated by a G-protein coupled cascade using cGMP as second messenger. Cyclic nucleotide-gated cation channel beta-3 can be activated by cGMP which leads to an opening of the cation channel and thereby causing a depolarization of rod photoreceptors. Induced a flickering channel gating, weakened the outward rectification in the presence of extracellular calcium, increased sensitivity for L-cis diltiazem and enhanced the cAMP efficiency of the channel when coexpressed with CNGA3 (By similarity). Essential for the generation of light-evoked electrical responses in the red-, green- and blue sensitive cones. [UniProt]

Application Notes

Optimal dilution of the CNGB3 antibody should be determined by the researcher.

Immunogen

Amino acids ESDDKPTEHYYR were used as the immunogen for this CNGB3 antibody.

Storage

Aliquot and store the CNGB3 antibody at -20oC.

Cross
Bulk Quote Request Form
Name*:
Organization*:
Email*:
Phone Number*:
Catalog No.*:
Comments and Specifics(amount, formulation, etc.)*:
Validation code: Captchapackage Image


Can't read the image? click here to refresh.
    *required field

Your bulk quote request has been submitted successfully!

Please contact us if you have any questions.