• Tel: 858.663.9055
  • SeparatorEmail: info@nsjbio.com
  • Tel: 858.663.9055
  • Email: info@nsjbio.com
Home >> Antibodies >> CMKBRL1 Antibody / CX3CR1

CMKBRL1 Antibody / CX3CR1 (RQ6969)

  Catalog No Formulation Size Price (USD)  
Image RQ6969 0.5mg/ml if reconstituted with 0.2ml sterile DI water 100 ug 439
Bulk quote request
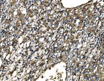
IHC staining of FFPE human liver cancer tissue with CMKBRL1 antibody. HIER: boil tissue sections in pH8 EDTA for 20 min and allow to cool before testing.
IHC staining of FFPE human lymphoma tissue with CMKBRL1 antibody. HIER: boil tissue sections in pH8 EDTA for 20 min and allow to cool before testing.
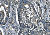
IHC staining of FFPE human adenocarcinoma of the right colon tissue with CMKBRL1 antibody. HIER: boil tissue sections in pH8 EDTA for 20 min and allow to cool before testing.
Flow cytometry testing of human HEL cells with CMKBRL1 antibody at 1ug/million cells (blocked with goat sera); Red=cells alone, Green=isotype control, Blue= CMKBRL1 antibody.
Availability 1-3 business days
Species Reactivity Human
Format Antigen affinity purified
Clonality Polyclonal (rabbit origin)
Isotype Rabbit IgG
Purity Antigen affinity purified
Buffer Lyophilized from 1X PBS with 2% Trehalose
UniProt P49238
Applications Immunohistochemistry (FFPE) : 2-5ug/ml
Flow Cytometry : 1-3ug/million cells
Direct ELISA : 0.1-0.5ug/ml
Limitations This CMKBRL1 antibody is available for research use only.
Review this product on BioCompare and get a $20 Amazon gift card

Related Products

Description

CX3C chemokine receptor 1 (CX3CR1) also known as the fractalkine receptor or G-protein coupled receptor 13 (GPR13) and Beta chemokine receptor-like 1 (CMKBRL1) is a protein that in humans is encoded by the CX3CR1 gene. Fractalkine is a transmembrane protein and chemokine involved in the adhesion and migration of leukocytes. The protein encoded by this gene is a receptor for fractalkine. The encoded protein also is a coreceptor for HIV-1, and some variations in this gene lead to increased susceptibility to HIV-1 infection and rapid progression to AIDS. Four transcript variants encoding two different isoforms have been found for this gene.

Application Notes

Optimal dilution of the CMKBRL1 antibody should be determined by the researcher.

Immunogen

Recombinant human protein (amino acids M1-H345) was used as the immunogen for the CMKBRL1 antibody.

Storage

After reconstitution, the CMKBRL1 antibody can be stored for up to one month at 4oC. For long-term, aliquot and store at -20oC. Avoid repeated freezing and thawing.

Cross
Bulk Quote Request Form
Name*:
Organization*:
Email*:
Phone Number*:
Catalog No.*:
Comments and Specifics(amount, formulation, etc.)*:
Validation code: Captchapackage Image


Can't read the image? click here to refresh.
    *required field

Your bulk quote request has been submitted successfully!

Please contact us if you have any questions.