• Tel: 858.663.9055
  • SeparatorEmail: info@nsjbio.com
  • Tel: 858.663.9055
  • Email: info@nsjbio.com
Home >> Antibodies >> CMGA Antibody / Chromogranin A

CMGA Antibody / Chromogranin A (F54612)

  Catalog No Formulation Size Price (USD)  
Image F54612-0.4ML In 1X PBS, pH 7.4, with 0.09% sodium azide 0.4 ml 429
Image
F54612-0.08ML In 1X PBS, pH 7.4, with 0.09% sodium azide 0.08 ml 199
Bulk quote request
Western blot testing of human A549 cell lysate with CMGA antibody. Expected molecular weight: 50-75 kDa depending on glycosylation level.
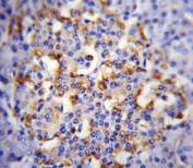
IHC testing of FFPE human pancreas tissue with CMGA antibody. HIER: steam section in pH6 citrate buffer for 20 min and allow to cool prior to staining.
Immunofluorescent staining of human A549 cells with CMGA antibody (green) and DAPI nuclear stain (blue).
Flow cytometry testing of human A549 cells with CMGA antibody; Blue=isotype control, Green= CMGA antibody.
Availability 1-3 business days
Species Reactivity Human
Format Purified
Clonality Polyclonal (rabbit origin)
Isotype Rabbit Ig
Purity Antigen affinity purified
UniProt P10645
Localization Cytoplasmic
Applications Flow Cytometry : 1:25 (1x10e6 cells)
Immunofluorescence : 1:25
Immunohistochemistry (FFPE) : 1:25
Western Blot : 1:500-1:2000
Limitations This CMGA antibody is available for research use only.
Review this product on BioCompare and get a $20 Amazon gift card

Related Products

Description

The protein encoded by this gene is a member of the chromogranin/secretogranin family of neuroendocrine secretory proteins. It is found in secretory vesicles of neurons and endocrine cells. This gene product is a precursor to three biologically active peptides; vasostatin, pancreastatin, and parastatin. These peptides act as autocrine or paracrine negative modulators of the neuroendocrine system. Other peptides, including chromostatin, beta-granin, WE-14 and GE-25, are also derived from the full-length protein. However, biological activities for these molecules have not been shown.

Application Notes

The stated application concentrations are suggested starting points. Titration of the CMGA antibody may be required due to differences in protocols and secondary/substrate sensitivity.

Immunogen

A portion of amino acids 376-404 from the human protein was used as the immunogen for the CMGA antibody.

Storage

Aliquot the CMGA antibody and store frozen at -20oC or colder. Avoid repeated freeze-thaw cycles.

Cross
Bulk Quote Request Form
Name*:
Organization*:
Email*:
Phone Number*:
Catalog No.*:
Comments and Specifics(amount, formulation, etc.)*:
Validation code: Captchapackage Image


Can't read the image? click here to refresh.
    *required field

Your bulk quote request has been submitted successfully!

Please contact us if you have any questions.