• Tel: 858.663.9055
  • SeparatorEmail: info@nsjbio.com
  • Tel: 858.663.9055
  • Email: info@nsjbio.com
Home >> Antibodies >> Clusterin Antibody / CLU / Apolipoprotein J / APO-J

Clusterin Antibody / CLU / Apolipoprotein J / APO-J (F54344)

  Catalog No Formulation Size Price (USD)  
Image F54344-0.4ML In 1X PBS, pH 7.4, with 0.09% sodium azide 0.4 ml 429
Image
F54344-0.08ML In 1X PBS, pH 7.4, with 0.09% sodium azide 0.08 ml 199
Bulk quote request
Western blot testing of human 1) A549 and 2) plasma lysate with Clusterin antibody.
Western blot testing of human 1) HepG2, 2) MCF7, 3) Caco-2, 4) HeLa and 5) A549 lysate with Clusterin antibody.
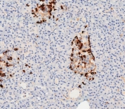
IHC testing of FFPE human pancreas tissue with Clusterin antibody. HIER: steam section in pH9 EDTA for 20 min and allow to cool prior to staining.
Flow cytometry testing of fixed and permeabilized human HeLa cells with Clusterin antibody; Blue=isotype control, Green= Clusterin antibody.
Availability 1-3 business days
Species Reactivity Human, Mouse, Rat
Format Purified
Clonality Polyclonal (rabbit origin)
Isotype Rabbit Ig
Purity Antigen affinity purified
UniProt P10909
Applications Western Blot : 1:500-1:2000
Flow Cytometry : 1:25 (1x10e6 cells)
Immunohistochemistry (FFPE) : 1:25
Limitations This Clusterin antibody is available for research use only.
Review this product on BioCompare and get a $20 Amazon gift card

Related Products

Description

The protein encoded by this gene appears to be involved in several basic biological events such as cell death, tumor progression, and neurodegenerative disorders. However, the function of this protein is unknown. Three transcript variants encoding different isoforms have been found for this gene, and one of them is secreted and processed into a mature form.

Application Notes

The stated application concentrations are suggested starting points. Titration of the Clusterin antibody may be required due to differences in protocols and secondary/substrate sensitivity.

Immunogen

A portion of amino acids 71-99 from the human protein was used as the immunogen for the Clusterin antibody.

Storage

Aliquot the Clusterin antibody and store frozen at -20oC or colder. Avoid repeated freeze-thaw cycles.

Cross
Bulk Quote Request Form
Name*:
Organization*:
Email*:
Phone Number*:
Catalog No.*:
Comments and Specifics(amount, formulation, etc.)*:
Validation code: Captchapackage Image


Can't read the image? click here to refresh.
    *required field

Your bulk quote request has been submitted successfully!

Please contact us if you have any questions.