• Tel: 858.663.9055
  • SeparatorEmail: info@nsjbio.com
  • Tel: 858.663.9055
  • Email: info@nsjbio.com
Home >> Antibodies >> Clusterin Antibody / Apolipoprotein J

Clusterin Antibody / Apolipoprotein J [clone CLU/12059] (V5666)

  Catalog No Formulation Size Price (USD)  
Image V5666-100UG 0.2 mg/ml in 1X PBS with 0.1 mg/ml BSA (US sourced), 0.05% sodium azide 100 ug 539
Image
V5666-20UG 0.2 mg/ml in 1X PBS with 0.1 mg/ml BSA (US sourced), 0.05% sodium azide 20 ug 249
Image
V5666SAF-100UG 1 mg/ml in 1X PBS; BSA free, sodium azide free 100 ug 539
Bulk quote request
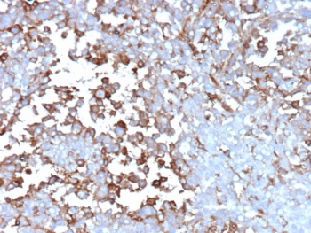
IHC staining of FFPE human adrenal gland tissue with Clusterin antibody (clone CLU/12059). HIER: boil tissue sections in pH 9 10mM Tris with 1mM EDTA for 20 min and allow to cool before testing.
SDS-PAGE analysis of purified, BSA-free Clusterin antibody (clone CLU/12059) as confirmation of integrity and purity.
Availability 1-3 business days
Species Reactivity Human
Format Purified
Clonality Monoclonal (mouse origin)
Isotype Mouse IgG
Clone Name CLU/12059
Purity Protein A/G affinity
UniProt P10909
Localization Cytoplasm, Secreted
Applications Immunohistochemistry (FFPE) : 1-2ug/ml
Limitations This Clusterin antibody is available for research use only.
Review this product on BioCompare and get a $20 Amazon gift card

Related Products

Description

Clusterin, also designated complement lysis inhibitor (CLI), apolipoprotein J (APOJ), sulfated glycoprotein 2 (SGP2), SP40 and testosterone-repressed prostate message 2 (TRPM2), is a secretory, heterodimeric glycoprotein that influences immune regulation, cell adhesion, transformation, lipid transportation, tissue remodeling, membrane recycling and cell-cell interactions. Clusterin is synthesized as a 449 amino acid polypeptide that is post-translationally cleaved at an internal bond between Arg 227 and Ser 228. Two subunits, 伪 and 尾, are associated through disulfide bonds. The 尾 subunit (also called ApoJ伪) corresponds to residues 23-227. The 伪 subunit (also called ApoJ尾) corresponds to residues 228-449. Overexpression of Clusterin appears to be more common in late stages of mammary tumor progression. Clusterin markedly influences 尾-Amyloid structure and neuritic toxicity in vivo and may influence Alzheimer s pathogenesis.

Application Notes

Optimal dilution of the Clusterin antibody should be determined by the researcher.

Immunogen

A portion of amino acids 150-300 from human CLU protein was used as the immunogen for the Clusterin antibody.

Storage

Aliquot the Clusterin antibody and store frozen at -20oC or colder. Avoid repeated freeze-thaw cycles.

Cross
Bulk Quote Request Form
Name*:
Organization*:
Email*:
Phone Number*:
Catalog No.*:
Comments and Specifics(amount, formulation, etc.)*:
Validation code: Captchapackage Image


Can't read the image? click here to refresh.
    *required field

Your bulk quote request has been submitted successfully!

Please contact us if you have any questions.