• Tel: 858.663.9055
  • SeparatorEmail: info@nsjbio.com
  • Tel: 858.663.9055
  • Email: info@nsjbio.com
Home >> Antibodies >> Clusterin Antibody / Apolipoprotein J / APO-J

Clusterin Antibody / Apolipoprotein J / APO-J [clone CLU/6692] (V5842)

  Catalog No Formulation Size Price (USD)  
Image V5842-100UG 0.2 mg/ml in 1X PBS with 0.1 mg/ml BSA (US sourced), 0.05% sodium azide 100 ug 539
Image
V5842-20UG 0.2 mg/ml in 1X PBS with 0.1 mg/ml BSA (US sourced), 0.05% sodium azide 20 ug 249
Image
V5842SAF-100UG 1 mg/ml in 1X PBS; BSA free, sodium azide free 100 ug 539
Microvalidated
Bulk quote request
Analysis of HuProt(TM) microarray containing more than 19,000 full-length human proteins using Clusterin antibody (clone CLU/6692). These results demonstrate the foremost specificity of the CLU/6692 mAb. Z- and S- score: The Z-score represents the strength of a signal that an antibody (in combination with a fluorescently-tagged anti-IgG secondary Ab) produces when binding to a particular protein on the HuProt(TM) array. Z-scores are described in units of standard deviations (SD's) above the mean value of all signals generated on that array. If the targets on the HuProt(TM) are arranged in descending order of the Z-score, the S-score is the difference (also in units of SD's) between the Z-scores. The S-score therefore represents the relative target specificity of an Ab to its intended target.
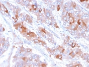
IHC staining of FFPE human adrenal gland tissue with Clusterin antibody (clone CLU/6692). HIER: boil tissue sections in pH 9 10mM Tris with 1mM EDTA for 20 min and allow to cool before testing.
Availability 1-3 business days
Species Reactivity Human
Format Purified
Clonality Monoclonal (mouse origin)
Isotype Mouse IgG2b, kappa
Clone Name CLU/6692
Purity Protein G affinity
UniProt P10909
Localization Cytoplasm, Secreted
Applications Immunohistochemistry (FFPE) : 1-2ug/ml
Limitations This Clusterin antibody is available for research use only.
Review this product on BioCompare and get a $20 Amazon gift card

Related Products

Description

Clusterin, also designated complement lysis inhibitor (CLI), apolipoprotein J (APOJ), sulfated glycoprotein 2 (SGP2), SP40 and testosterone-repressed prostate message 2 (TRPM2), is a secretory, heterodimeric glycoprotein that influences immune regulation, cell adhesion, transformation, lipid transportation, tissue remodeling, membrane recycling and cell-cell interactions. Clusterin is synthesized as a 449 amino acid polypeptide that is post-translationally cleaved at an internal bond between Arg 227 and Ser 228. Two subunits, 伪 and 尾, are associated through disulfide bonds. The 尾 subunit (also called ApoJ伪) corresponds to residues 23-227. The 伪 subunit (also called ApoJ尾) corresponds to residues 228-449. Overexpression of Clusterin appears to be more common in late stages of mammary tumor progression. Clusterin markedly influences 尾-Amyloid structure and neuritic toxicity in vivo and may influence Alzheimer s pathogenesis.

Application Notes

Optimal dilution of the Clusterin antibody should be determined by the researcher.

Storage

Aliquot the Clusterin antibody and store frozen at -20oC or colder. Avoid repeated freeze-thaw cycles.

Cross
Bulk Quote Request Form
Name*:
Organization*:
Email*:
Phone Number*:
Catalog No.*:
Comments and Specifics(amount, formulation, etc.)*:
Validation code: Captchapackage Image


Can't read the image? click here to refresh.
    *required field

Your bulk quote request has been submitted successfully!

Please contact us if you have any questions.