• Tel: 858.663.9055
  • SeparatorEmail: info@nsjbio.com
  • Tel: 858.663.9055
  • Email: info@nsjbio.com
Home >> Antibodies >> CLTC Antibody / Clathrin heavy chain

CLTC Antibody / Clathrin heavy chain (RQ5676)

  Catalog No Formulation Size Price (USD)  
Image RQ5676 0.5mg/ml if reconstituted with 0.2ml sterile DI water 100 ug 439
Bulk quote request
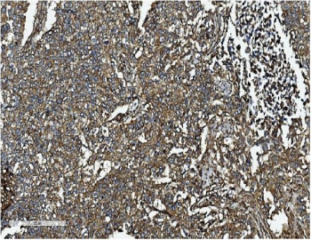
IHC staining of FFPE human lung cancer with CLTC antibody. HIER: boil tissue sections in pH8 EDTA for 20 min and allow to cool before testing.
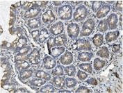
IHC staining of FFPE mouse intestine with CLTC antibody. HIER: boil tissue sections in pH8 EDTA for 20 min and allow to cool before testing.
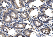
IHC staining of FFPE rat intestine with CLTC antibody. HIER: boil tissue sections in pH8 EDTA for 20 min and allow to cool before testing.
Immunofluorescent staining of FFPE human U-2 OS cells with CLTC antibody (green) and DAPI nuclear stain (blue). HIER: steam section in pH6 citrate buffer for 20 min.
Western blot testing of 1) human HEK293, 2) human Raji, 3) rat brain, 4) rat kidney, 5) mouse brain, 6) mouse kidney and 7) mouse ANA-1 lysate with CLTC antibody. Predicted molecular weight ~192 kDa.
Flow cytometry testing of human U-87 MG cells with CLTC antibody at 1ug/million cells (blocked with goat sera); Red=cells alone, Green=isotype control, Blue= CLTC antibody.
Flow cytometry testing of mouse HEPA1-6 cells with CLTC antibody at 1ug/million cells (blocked with goat sera); Red=cells alone, Green=isotype control, Blue= CLTC antibody.
Flow cytometry testing of rat C6 cells with CLTC antibody at 1ug/million cells (blocked with goat sera); Red=cells alone, Green=isotype control, Blue= CLTC antibody.
Availability 1-3 business days
Species Reactivity Human, Mouse, Rat
Format Antigen affinity purified
Clonality Polyclonal
Isotype Rabbit IgG
Purity Affinity purified
Buffer Lyophilized from 1X PBS with 2% Trehalose and 0.025% sodium azide
UniProt Q00610
Applications Western Blot : 0.5-1ug/ml
Immunohistochemistry : 1-2ug/ml
Immunofluorescence : 2-4ug/ml
Flow Cytometry : 1-3ug/million cells
Direct ELISA : 0.1-0.5ug/ml
Limitations This CLTC antibody is available for research use only.
Review this product on BioCompare and get a $20 Amazon gift card

Related Products

Description

Clathrin heavy chain 1 is a protein that in humans is encoded by the CLTC gene. Clathrin is a major protein component of the cytoplasmic face of intracellular organelles, called coated vesicles and coated pits. These specialized organelles are involved in the intracellular trafficking of receptors and endocytosis of a variety of macromolecules. The basic subunit of the clathrin coat is composed of three heavy chains and three light chains.

Application Notes

Optimal dilution of the CLTC antibody should be determined by the researcher.

Immunogen

Recombinant human protein (amino acids R967-Q1668) was used as the immunogen for the CLTC antibody.

Storage

After reconstitution, the CLTC antibody can be stored for up to one month at 4oC. For long-term, aliquot and store at -20oC. Avoid repeated freezing and thawing.

Cross
Bulk Quote Request Form
Name*:
Organization*:
Email*:
Phone Number*:
Catalog No.*:
Comments and Specifics(amount, formulation, etc.)*:
Validation code: Captchapackage Image


Can't read the image? click here to refresh.
    *required field

Your bulk quote request has been submitted successfully!

Please contact us if you have any questions.