• Tel: 858.663.9055
  • SeparatorEmail: info@nsjbio.com
  • Tel: 858.663.9055
  • Email: info@nsjbio.com
Home >> Antibodies >> CLIC1 Antibody / hRNCC

CLIC1 Antibody / hRNCC (RQ6545)

  Catalog No Formulation Size Price (USD)  
Image RQ6545 0.5mg/ml if reconstituted with 0.2ml sterile DI water 100 ug 439
Bulk quote request
Flow cytometry testing of human A431 cells with CLIC1 antibody at 1ug/million cells (blocked with goat sera); Red=cells alone, Green=isotype control, Blue= CLIC1 antibody.
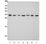
Western blot testing of 1) human HL60, 2) human HeLa, 3) monkey COS-7, 4) human ThP-1, 5) human Caco-2, 6) human U937 and 7) rat kidney lysate with CLIC1 antibody. Expected molecular weight: 27-30 kDa.
Availability 1-3 business days
Species Reactivity Human, Rat, Monkey
Format Antigen affinity purified
Clonality Polyclonal (rabbit origin)
Isotype Rabbit IgG
Purity Affinity purified
Buffer Lyophilized from 1X PBS with 2% Trehalose
UniProt O00299
Applications Western Blot : 1-2ug/ml
Flow Cytometry : 1-3ug/million cells
Direct ELISA : 0.1-0.5ug/ml
Limitations This CLIC1 antibody is available for research use only.
Review this product on BioCompare and get a $20 Amazon gift card

Related Products

  • Applications : WB, ELISA (peptide)
    Reactivity : Human
    Pred. Reactivity : Mouse, Rat, Dog, Pig, Cow
  • Applications : WB, ELISA (peptide)
    Reactivity : Human
    Pred. Reactivity : Mouse, Rat, Dog, Cow

Description

Chloride intracellular channel protein 1 is a protein that in humans is encoded by the CLIC1 gene. Chloride channels are a diverse group of proteins that regulate fundamental cellular processes including stabilization of cell membrane potential, transepithelial transport, maintenance of intracellular pH, and regulation of cell volume. Chloride intracellular channel 1 is a member of the p64 family; the protein localizes principally to the cell nucleus and exhibits both nuclear and plasma membrane chloride ion channel activity.

Application Notes

Optimal dilution of the CLIC1 antibody should be determined by the researcher.

Immunogen

An E. coli-derived human protein (amino acids D47-K241) was used as the immunogen for the CLIC1 antibody.

Storage

After reconstitution, the CLIC1 antibody can be stored for up to one month at 4oC. For long-term, aliquot and store at -20oC. Avoid repeated freezing and thawing.

Cross
Bulk Quote Request Form
Name*:
Organization*:
Email*:
Phone Number*:
Catalog No.*:
Comments and Specifics(amount, formulation, etc.)*:
Validation code: Captchapackage Image


Can't read the image? click here to refresh.
    *required field

Your bulk quote request has been submitted successfully!

Please contact us if you have any questions.