• Tel: 858.663.9055
  • SeparatorEmail: info@nsjbio.com
  • Tel: 858.663.9055
  • Email: info@nsjbio.com
Home >> Antibodies >> CLDN3 Antibody / Claudin 3

CLDN3 Antibody / Claudin 3 [clone 4C7D2] (RQ7356)

  Catalog No Formulation Size Price (USD)  
Image RQ7356 0.5mg/ml if reconstituted with 0.2ml sterile DI water 100 ug 439
Bulk quote request
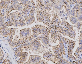
IHC staining of FFPE human lung adenocarcinoma tissue with CLDN3 antibody. HIER: boil tissue sections in pH8 EDTA for 20 min and allow to cool before testing.
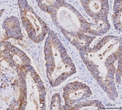
IHC staining of FFPE human colorectal adenocarcinoma tissue with CLDN3 antibody. HIER: boil tissue sections in pH8 EDTA for 20 min and allow to cool before testing.
IHC staining of FFPE human colorectal adenocarcinoma tissue with CLDN3 antibody. HIER: boil tissue sections in pH8 EDTA for 20 min and allow to cool before testing.
Immunofluorescent staining of FFPE human lung adenocarcinoma tissue with CLDN3 antibody (red) and DAPI nuclear stain (blue). HIER: steam section in pH6 citrate buffer for 20 min.
Western blot testing of human 1) MCF7 and 2) Caco-2 cell lysate with CLDN3 antibody. Predicted molecular weight ~23 kDa.
Availability 1-3 business days
Species Reactivity Human
Format Antigen affinity purified
Clonality Monoclonal (mouse origin)
Isotype Mouse IgG2b
Clone Name 4C7D2
Purity Antigen affinity purified
Buffer Lyophilized from 1X PBS with 2% Trehalose
UniProt O15551
Applications Western Blot : 0.5-1ug/ml
Immunohistochemistry (FFPE) : 2-5ug/ml
Immunofluorescence : 5ug/ml
Limitations This CLDN3 antibody is available for research use only.
Review this product on BioCompare and get a $20 Amazon gift card

Related Products

  • Applications : WB, IHC-P, IF, FACS
    Reactivity : Human
  • Applications : WB, IF
    Reactivity : Mouse, Rat
  • Applications : WB, IHC-P, IF, FACS, Direct ELISA
    Reactivity : Human

Description

Claudin 3, also known as CLDN3, is a protein which in humans is encoded by the CLDN3 gene. Tight junctions represent one mode of cell-to-cell adhesion in epithelial or endothelial cell sheets, forming continuous seals around cells and serving as a physical barrier to prevent solutes and water from passing freely through the paracellular space. These junctions are comprised of sets of continuous networking strands in the outwardly facing cytoplasmic leaflet, with complementary grooves in the inwardly facing extracytoplasmic leaflet. The protein encoded by this intronless gene, a member of the claudin family, is an integral membrane protein and a component of tight junction strands. It is also a low-affinity receptor for Clostridium perfringens enterotoxin, and shares aa sequence similarity with a putative apoptosis-related protein found in rat.

Application Notes

Optimal dilution of the CLDN3 antibody should be determined by the researcher.

Immunogen

Recombinant human protein (amino acids A101-V220) was used as the immunogen for the CLDN3 antibody.

Storage

After reconstitution, the CLDN3 antibody can be stored for up to one month at 4oC. For long-term, aliquot and store at -20oC. Avoid repeated freezing and thawing.

Cross
Bulk Quote Request Form
Name*:
Organization*:
Email*:
Phone Number*:
Catalog No.*:
Comments and Specifics(amount, formulation, etc.)*:
Validation code: Captchapackage Image


Can't read the image? click here to refresh.
    *required field

Your bulk quote request has been submitted successfully!

Please contact us if you have any questions.