• Tel: 858.663.9055
  • SeparatorEmail: info@nsjbio.com
  • Tel: 858.663.9055
  • Email: info@nsjbio.com
Home >> Antibodies >> Claudin 7 Antibody

Claudin 7 Antibody (RQ6250)

  Catalog No Formulation Size Price (USD)  
Image RQ6250 0.5mg/ml if reconstituted with 0.2ml sterile DI water 100 ug 439
Bulk quote request
Immunofluorescent staining of FFPE human rectal cancer with Claudin 7 antibody (green) and DAPI nuclear stain (blue). HIER: steam section in pH8 EDTA for 20 min.
Immunofluorescent staining of FFPE human MCF7 cells with Claudin 7 antibody (green) and DAPI nuclear stain (blue). HIER: steam section in pH8 EDTA for 20 min.
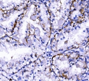
IHC staining of FFPE human renal clear cell carcinoma tissue with Claudin 7 antibody. HIER: boil tissue sections in pH8 EDTA for 20 min and allow to cool before testing.
IHC staining of FFPE human rectal cancer tissue with Claudin 7 antibody. HIER: boil tissue sections in pH8 EDTA for 20 min and allow to cool before testing.
IHC staining of FFPE human gallbladder adenocarcinoma tissue with Claudin 7 antibody. HIER: boil tissue sections in pH8 EDTA for 20 min and allow to cool before testing.
Western blot testing of human Caco-2 cell lysate with Claudin 7 antibody. Predicted molecular weight ~22 kDa.
Flow cytometry testing of human Caco-2 cells with Claudin 7 antibody at 1ug/million cells (blocked with goat sera); Red=cells alone, Green=isotype control, Blue= Claudin 7 antibody.
Availability 1-3 business days
Species Reactivity Human
Format Antigen affinity purified
Clonality Polyclonal (rabbit origin)
Isotype Rabbit IgG
Purity Affinity purified
Buffer Lyophilized from 1X PBS with 2% Trehalose
UniProt O95471
Applications Western Blot : 1-2ug/ml
Immunohistochemistry (FFPE) : 2-5ug/ml
Immunofluorescence (FFPE) : 5ug/ml
Flow Cytometry : 1-3ug/million cells
Direct ELISA : 0.1-0.5ug/ml
Limitations This Claudin 7 antibody is available for research use only.
Review this product on BioCompare and get a $20 Amazon gift card

Related Products

Description

Claudin-7 is a protein that in humans is encoded by the CLDN7 gene. This gene encodes a member of the claudin family. Claudins are integral membrane proteins and components of tight junction strands. Tight junction strands serve as a physical barrier to prevent solutes and water from passing freely through the paracellular space between epithelial or endothelial cell sheets, and also play critical roles in maintaining cell polarity and signal transductions. This gene is expressed constitutively in the mammary epithelium throughout development, and might be involved in vesicle trafficking to the basolateral membrane. It is essential for NaCl homeostasis in distal nephrons. The knockout mice lacking this gene showed severe salt wasting, chronic dehydration, and growth retardation, and died within 12 days after birth. Alternatively spliced transcript variants have been found for this gene.

Application Notes

Optimal dilution of the Claudin 7 antibody should be determined by the researcher.

Immunogen

A human recombinant partial protein (amino acids F92-V211) was used as the immunogen for the Claudin 7 antibody.

Storage

After reconstitution, the Claudin 7 antibody can be stored for up to one month at 4oC. For long-term, aliquot and store at -20oC. Avoid repeated freezing and thawing.

Cross
Bulk Quote Request Form
Name*:
Organization*:
Email*:
Phone Number*:
Catalog No.*:
Comments and Specifics(amount, formulation, etc.)*:
Validation code: Captchapackage Image


Can't read the image? click here to refresh.
    *required field

Your bulk quote request has been submitted successfully!

Please contact us if you have any questions.