• Tel: 858.663.9055
  • SeparatorEmail: info@nsjbio.com
  • Tel: 858.663.9055
  • Email: info@nsjbio.com
Home >> Antibodies >> Clathrin Light Chain A Antibody / CTLA

Clathrin Light Chain A Antibody / CTLA (F55014)

  Catalog No Formulation Size Price (USD)  
Image F55014-0.4ML In 1X PBS, pH 7.4, with 0.09% sodium azide 0.4 ml 429
Image
F55014-0.08ML In 1X PBS, pH 7.4, with 0.09% sodium azide 0.08 ml 199
Bulk quote request
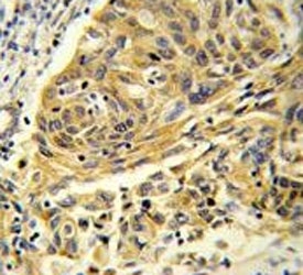
IHC testing of FFPE human lung carcinoma tissue with Clathrin Light Chain A antibody. HIER: steam section in pH6 citrate buffer for 20 min and allow to cool prior to staining.
Western blot testing of 1) non-transfected and 2) transfected 293 cell lysate with Clathrin Light Chain A antibody.
Western blot testing of human MDA-MB-231 cell lysate with Clathrin Light Chain A antibody. Expected molecular weight: 24-27 kDa.
Flow cytometry testing of human MDA-MB-231 cells with Clathrin Light Chain A antibody; Blue=isotype control, Green= Clathrin Light Chain A antibody.
Availability 1-3 business days
Species Reactivity Human
Format Purified
Clonality Polyclonal (rabbit origin)
Isotype Rabbit Ig
Purity Antigen affinity purified
UniProt P09496
Localization Cytoplasmic
Applications Flow Cytometry : 1:10-1:50 (1x10e6 cells)
Western Blot : 1:500-1:1000
Immunohistochemistry (FFPE) : 1:50-1:100
Limitations This Clathrin Light Chain A antibody is available for research use only.
Review this product on BioCompare and get a $20 Amazon gift card

Related Products

Description

Clathrin is a large, soluble protein composed of heavy and light chains. It functions as the main structural component of the lattice-type cytoplasmic face of coated pits and vesicles which entrap specific macromolecules during receptor-mediated endocytosis. CLTA is one of two clathrin light chain proteins which are believed to function as regulatory elements.

Application Notes

The stated application concentrations are suggested starting points. Titration of the Clathrin Light Chain A antibody may be required due to differences in protocols and secondary/substrate sensitivity.

Immunogen

A portion of amino acids 99-127 from the human protein was used as the immunogen for the Clathrin Light Chain A antibody.

Storage

Aliquot the Clathrin Light Chain A antibody and store frozen at -20oC or colder. Avoid repeated freeze-thaw cycles.

Cross
Bulk Quote Request Form
Name*:
Organization*:
Email*:
Phone Number*:
Catalog No.*:
Comments and Specifics(amount, formulation, etc.)*:
Validation code: Captchapackage Image


Can't read the image? click here to refresh.
    *required field

Your bulk quote request has been submitted successfully!

Please contact us if you have any questions.