• Tel: 858.663.9055
  • SeparatorEmail: info@nsjbio.com
  • Tel: 858.663.9055
  • Email: info@nsjbio.com
Home >> Antibodies >> CK14 Antibody / Cytokeratin 14 / KRT14

CK14 Antibody / Cytokeratin 14 / KRT14 [clone rKRT14/7290] (V4480)

  Catalog No Formulation Size Price (USD)  
Image V4480-100UG 0.2 mg/ml in 1X PBS with 0.1 mg/ml BSA (US sourced), 0.05% sodium azide 100 ug 539
Image
V4480-20UG 0.2 mg/ml in 1X PBS with 0.1 mg/ml BSA (US sourced), 0.05% sodium azide 20 ug 249
Image
V4480SAF-100UG 1 mg/ml in 1X PBS; BSA free, sodium azide free 100 ug 539
Microvalidated Recmousemono
Bulk quote request
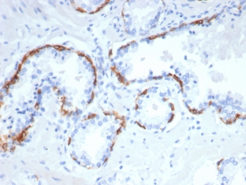
IHC staining of FFPE human prostate tissue with CK14 antibody (clone rKRT14/7290). HIER: boil tissue sections in pH 9 10mM Tris with 1mM EDTA for 20 min and allow to cool before testing.
SDS-PAGE analysis of purified, BSA-free CK14 antibody (clone rKRT14/7290) as confirmation of integrity and purity.
Availability 1-3 business days
Species Reactivity Human
Format Purified
Clonality Recombinant Mouse Monoclonal
Isotype Mouse IgG1, kappa
Clone Name rKRT14/7290
Purity Protein A/G affinity
UniProt P02533
Localization Cytoplasm
Applications Immunohistochemistry (FFPE) : 1-2ug/ml for 30 minutes at RT
Limitations This CK14 antibody is available for research use only.
Review this product on BioCompare and get a $20 Amazon gift card

Related Products

Description

Cytokeratin 14 is a member of the type I keratin family of intermediate filament proteins. It always pairs with the type II keratin K5 and form the primary keratin pair of the keratinocytes of stratified squamous epithelia, including the epidermis as well as mucosal non-keratinizing stratified squamous epithelia.Cytokeratin 14 is strongly expressed in the undifferentiated basal cell layer containing the stem cells and are down-regulated in the differentiating suprabasal cell layers. Otherwise, in the widely well stratified follicular outer root sheath, cytokeratin 14 is uniformly expressed throughout all layers. The expression spectrum of cytokeratin 14 in tumors corresponds well to the patterns in normal epithelia. Thus, most squamous cell carcinomas as well as malignant mesotheliomas strongly express this keratin whereas little, focal, or no expression is found in adenocarcinomas.Cytokeratin 14 may be a useful marker in the differential diagnosis of squamous cell carcinoma from other epithelial tumors. Recent studies also indicate that CK14 expression in breast cancer corresponded with poor clinical outcome and that CK14 may have diagnostic value in the sub-classification of NSCLC.

Application Notes

Optimal dilution of the CK14 antibody should be determined by the researcher.

Immunogen

A recombinant human KRT14 fragment (within amino acids 350-472) was used as the immunogen for the CK14 antibody.

Storage

Aliquot the CK14 antibody and store frozen at -20oC or colder. Avoid repeated freeze-thaw cycles.

Cross
Bulk Quote Request Form
Name*:
Organization*:
Email*:
Phone Number*:
Catalog No.*:
Comments and Specifics(amount, formulation, etc.)*:
Validation code: Captchapackage Image


Can't read the image? click here to refresh.
    *required field

Your bulk quote request has been submitted successfully!

Please contact us if you have any questions.